Victorivirus
| Victorivirus | |
|---|---|
 
 | |
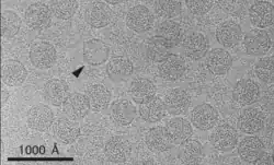
| Capsid structure of Helminthosporium victoriae virus 190S (HvV190S) | |
 
 | |
| Cryo-EM of HvV190S virions. | |
| Virus classification  | |
| (unranked): | Virus | 
| Realm: | Riboviria | 
| Kingdom: | Orthornavirae | 
| Phylum: | Duplornaviricota | 
| Class: | Chrymotiviricetes | 
| Order: | Ghabrivirales | 
| Family: | Pseudototiviridae | 
| Genus: | Victorivirus | 
Victorivirus is a genus of viruses, in the family Pseudototiviridae. Filamentous fungi serve as natural hosts. There are 32 species in this genus.[1][2]
Structure
Viruses in Victorivirus are non-enveloped, with icosahedral geometries, and T=2 symmetry. The diameter is around 40 nm. Genomes are linear, around 4.6-6.7kb in length. The genome has 2 open reading frames.[1]
| Genus | Structure | Symmetry | Capsid | Genomic arrangement | Genomic segmentation | 
|---|---|---|---|---|---|
| Victorivirus | Icosahedral | T=2 | Non-enveloped | Linear | 
Life cycle
Viral replication is cytoplasmic. Entry into the host cell is achieved by virus remains intracellular. Replication follows the double-stranded RNA virus replication model. Double-stranded RNA virus transcription is the method of transcription. Translation takes place by RNA termination-reinitiation. The virus exits the host cell by cell to cell movement. Filamentous fungi serve as the natural host.[1]
| Genus | Host details | Tissue tropism | Entry details | Release details | Replication site | Assembly site | Transmission | 
|---|---|---|---|---|---|---|---|
| Victorivirus | Fungi | None | Unknown | Unknown | Cytoplasm | Cytoplasm | Unknown | 
Taxonomy
The genus Victorivirus includes the following species:[2]
- Victorivirus go
 - Victorivirus hachi
 - Victorivirus ichi
 - Victorivirus jyu
 - Victorivirus jyugo
 - Victorivirus jyuhachi
 - Victorivirus jyuichi
 - Victorivirus jyukyu
 - Victorivirus jyuni
 - Victorivirus jyuroku
 - Victorivirus jyusani
 - Victorivirus jyushi
 - Victorivirus jyushichi
 - Victorivirus kyu
 - Victorivirus ni
 - Victorivirus nijyu
 - Victorivirus nijyugo
 - Victorivirus nijyuhachi
 - Victorivirus nijyuichi
 - Victorivirus nijyukyu
 - Victorivirus nijyuni
 - Victorivirus nijyuroku
 - Victorivirus nijyusani
 - Victorivirus nijyushi
 - Victorivirus nijyushichi
 - Victorivirus roku
 - Victorivirus sani
 - Victorivirus sanjyu
 - Victorivirus sanjyuichi
 - Victorivirus sanjyuni
 - Victorivirus shi
 - Victorivirus shichi
 
References
- ^ a b c "Viral Zone". ExPASy. Retrieved 15 June 2015.
 - ^ a b "Virus Taxonomy: 2024 Release". International Committee on Taxonomy of Viruses. Retrieved 8 March 2025.
 

