Small-cell carcinoma
| Small-cell carcinoma | |
|---|---|
| Other names | Small-cell lung cancer, oat-cell carcinoma |
![]() | |
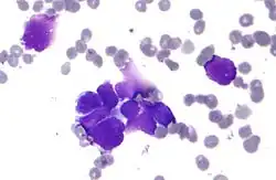
| Micrograph of a small-cell carcinoma of the lung showing cells with nuclear moulding, minimal amount of cytoplasm and stippled chromatin. FNA specimen. Field stain. | |
| Specialty | Oncology |
| Risk factors | Smoking |
Small-cell carcinoma, also known as oat cell carcinoma, is a type of highly malignant cancer that most commonly arises within the lung,[1] although it can occasionally arise in other body sites, such as the cervix,[2] prostate,[3] and gastrointestinal tract. Compared to non-small cell carcinoma, small cell carcinoma is more aggressive, with a shorter doubling time, higher growth fraction, and earlier development of metastases.[4]
Small-cell carcinoma is a neuroendocrine tumor, meaning that the cells were originally part of the neuroendocrine system. As a result, small cell carcinomas often secrete various hormones, such as adrenocorticotropic hormone or vasopressin. The unpredictable hormone secretion of small-cell carcinoma adds additional symptoms and mortality to the aggressive course of the cancer.[5]
Extensive stage small cell lung cancer (SCLC) is classified as a rare disorder.[6] Ten-year relative survival rate (combined limited and extensive SCLC) is 3.5% (4.3% for women, 2.8% for men).[7] Survival can be higher or lower based on a combination of factors including stage, age, sex and race.[8] While most lung cancers are associated with tobacco smoking, SCLC is very strongly associated with tobacco smoking.[4]
Types
Lung cancer
Small-cell lung carcinoma (SCLC) has long been divided into two clinicopathological stages, termed limited stage (LS) and extensive stage (ES).[9] The stage is generally determined by the presence or absence of metastases, whether or not the tumor appears limited to the thorax, and whether or not the entire tumor burden within the chest can feasibly be encompassed within a single radiotherapy portal.[10] In general, if the tumor is confined to one lung and the lymph nodes close to that lung, the cancer is said to be LS. If cancer has spread beyond that, it is said to be ES.
Lung cancer is the leading cause of cancer-related deaths worldwide, accounting for the highest mortality rates among both men and women. When associated with the lung, SCLC is sometimes called "oat cell carcinoma" due to the flat cell shape and scanty cytoplasm. Small cell mesothelioma – an extremely rare subtype of lung cancer – can be mistaken for small cell lung cancer.[11]
Small-cell carcinoma is most often more rapidly and widely metastatic than non-small-cell lung carcinoma[12] (and hence staged differently). There is usually early involvement of the hilar and mediastinal lymph nodes.[13] The mechanisms of its metastatic progression are not well understood.[14]
Combined
When SCLC is found with one or more differentiated forms of lung cancer, such as squamous cell carcinoma or adenocarcinoma, the malignant tumor is then diagnosed and classified as a combined small cell lung carcinoma (c-SCLC).[15] Small-cell lung carcinoma can occur in combination with a wide variety of other histological variants of lung cancer,[15] including extremely complex malignant tissue admixtures.[16] [17] C-SCLC is the only currently recognized subtype of SCLC.[15]
Extrapulmonary
Very rarely, the primary site for small-cell carcinoma is outside of the lungs and pleural space; in these cases, it is referred to as extrapulmonary small-cell carcinoma (EPSCC). Outside of the respiratory tract, small-cell carcinoma can appear in the cervix, prostate, liver, pancreas, gastrointestinal tract, or bladder.[18] It is estimated to account for 1,000 new cases a year in the U.S. Histologically similar to small-cell lung cancer, therapies for small-cell lung cancer are usually used to treat EPSCC.[19] First-line treatment is usually with cisplatin and etoposide. In Japan, first-line treatment is shifting to irinotecan and cisplatin. When the primary site is in the skin, it is referred to as a Merkel-cell carcinoma.[20]
Extrapulmonary localized in the lymph nodes
This is an extremely rare type of small cell, and there has been little information in the scientific community. It appears to occur in only one or more lymph nodes, and nowhere else in the body. Treatment is similar to small-cell lung cancer, but survival rates are much higher than other small-cell carcinomas.[21]
Prostate
Small-cell carcinoma of the prostate (SCCP) is a rare form of prostate cancer (approximately 1% of prostate cancers).[22] Symptomatic metastasis of SCCP to the brain is rare, and carries a poor prognosis.[23]
Signs and symptoms

Small-cell carcinoma of the lung usually presents in the central airways and infiltrates the submucosa leading to the narrowing of bronchial airways. Common symptoms include cough, dyspnea, weight loss, and debility. Over 70% of patients with small-cell carcinoma present with metastatic disease; common sites include the liver, adrenals, bone, and brain.[24][25]
Due to its high grade neuroendocrine nature, small-cell carcinomas can produce ectopic hormones, including adrenocorticotropic hormone (ACTH) and anti-diuretic hormone (ADH).[5] Ectopic production of large amounts of ADH leads to syndrome of inappropriate antidiuretic hormone hypersecretion (SIADH).[26][13] Lambert–Eaton myasthenic syndrome is a well-known paraneoplastic condition linked to small-cell carcinoma.[27][5] Approximately half of all individuals diagnosed with Lambert–Eaton myasthenic syndrome will eventually be found to have a small-cell carcinoma of the lung.[27]
Genetics
TP53 is mutated in 70 to 90% of SCLCs. RB1 and the retinoblastoma pathway are inactivated in most SCLCs. PTEN is mutated in 2 to 10%. MYC and MYC family member amplifications are found in 30% of SCLCs. Loss of heterozygosity on chromosome arm 3p is found in more than 80% of SCLCs, including the loss of FHIT.[28] One hundred translocations have been reported in SCLCs.[29][30]
Diagnosis

_by_core_needle_biopsy.jpg)
Small-cell carcinoma is an undifferentiated neoplasm composed of primitive-appearing cells. As the name implies, the cells in small-cell carcinomas are smaller than normal cells and barely have room for any cytoplasm. Some researchers identify this as a failure in the mechanism that controls the size of the cells.[32]
At the time of diagnosis, 60–70% of people already have metastases.[14]
LS-SCLC
Chest X-rays are typically the first step to evaluate someone for any type of lung cancer. If images show suspicious spots on the patient's lung, a healthcare provider may order chest CT, PET, needle biopsy or bronchoscopy for further check.[33]
It is possible to use bronchoscopic biopsy to diagnose Lung small-cell carcinoma. However, small-cell carcinoma tissue obtained through bronchoscopy is prone to tissue compression and unclear morphology. However, pathologists can stain lesions with immunohistochemistry Ki-67, CD56, TTF-1, CgA, Syn, P63, CK5/6, LCA, and 34βE12 to help, in order to make a differential diagnosis.[34]
ES-SCLC
The common metastasis sites of SCLC include the lung, brain, bone, adrenal gland, liver, colorectum, and lymph nodes.
If the tumor metastasises to the brain, It is necessary to comprehensively evaluate the patient's condition in combination with PET/CT and MRI. In patients with brain metastases from small cell lung cancer, MRI has specificity and sensitivity of 75% to 90% and 70% to 85%, respectively.[35] In MRI, T1- and T2-weighted images had medium-to-high signal intensity.[36] Presently, brain metastasis diagnosis by FDG-PET/CT often uses TBR ≥1.6 of increased absorption as the appropriate diagnostic index for positive brain metastasis.[36][37] Researchers also found cerebellum is the risk site with a high incidence of metastasis.[38] In patients with SCLC brain metastasis, the general manifestation on plain CT is of low and medium density, and high-density signals of lesions are rare. However, the imaging with enhanced CT is more clear, showing obvious enhanced signals of cancer lesions. The extensive low-density edema zone of finger edema can be observed.[37] What's more, it is difficult to detect small metastasis in the brain <0.5 cm, which contributes to the high false-positive rate of brain CT.[36][39]
Treatment
LS-SCLC
In cases of LS-SCLC, combination chemotherapy is administered together with concurrent chest radiotherapy.[40][41][42] Chest radiotherapy has been shown to improve survival in LS-SCLC.[43] Because SCLC usually metastasizes widely very early on in the natural history of the tumor, and because nearly all cases respond dramatically to chemotherapy and/or radiotherapy, there has been little role for surgery in this disease since the 1970s.[44] However, in cases of small, asymptomatic, node-negative SCLC's ("very limited stage"), surgical excision may improve survival when used prior to chemotherapy.[45]
ES-SCLC
In ES-SCLC, platinum-based combination chemotherapy is the standard of care.[46]
Combination chemotherapy consists of a wide variety of agents, including cisplatin, cyclophosphamide, vincristine and carboplatin. Response rates are high even in extensive disease, with between 15% and 30% of subjects having a complete response to a combination chemotherapy, and the vast majority having at least some objective response. Responses in ES-SCLC are often of short duration, and the evidence surrounding the risk of treatment compared to the potential benefit of chemotherapy for people who have extensive SCLC is not clear.[46]
Chemotherapy
Small-cell lung cancer is most commonly treated with chemotherapy in a combination of two drugs, which is more effective than one drug alone.
- Cisplatin and etoposide,
- Carboplatin and etoposide.
Cisplatin-resistance
The drug paclitaxel may be useful in the treatment of cisplatin-resistant cancer. About 68.1% of cisplatin-resistant cells appear to be sensitive to paclitaxel and 66.7% of paclitaxel-resistant cells to cisplatin. The mechanism for this activity is unknown.[47] Paclitaxel-based chemotherapy showed modest activity in SCLC patients refractory to both etoposide- and camptothecin-based chemotherapy.[48] The newer agent lurbinectedin is active in relapsed SCLC and was approved for medical use in the United States in June 2020.[49][50][51][52][53]
Immunotherapy
The FDA has approved three immunotherapies for small cell lung cancer:
- Nivolumab (Opdivo), a PD-1 inhibitor (2018)[54][55]
- Atezolizumab (Tecentriq), a PD-L1 inhibitor (2018)[56][57]
- Tarlatamab, a bi-specific T-cell engager (2024)[58][59]
Canadian regulator rejected funding Tecentriq (Atezolizumab) for extensive-stage small-cell lung cancer in 2020 "as too costly" followed by the United Kingdom also citing "drug’s cost-effectiveness."[60][61]
Radiation therapy
Chest radiation helps SCLC patients live longer by killing cancer cells and helping prevention of cancer recurrence.[62] Another type of radiation, prophylactic cranial radiation, prevents central nervous system recurrence and can improve survival in patients with good performance status who have had a complete response or very good partial response to chemoradiation in LD or chemotherapy in ED.[41]
In case of relapse
If small cell lung cancer comes back after treatment, the following combination of drugs may be used as salvage therapy:[63]
- Cyclophosphamide (Cytoxan, Procytox),
- Doxorubicin (Adriamycin) and
- Vincristine (Oncovin)
- Paclitaxel (Taxol)
- Irinotecan (Camptosar) [64]
Guidelines recommended as of 2018 that patients who relapse > 6 months from initial therapy should be retreated with the original chemotherapy regimen. For patients who relapse in < 6 months, single-agent chemotherapy either topotecan second-line therapy, or paclitaxel can be used.[65]
Novel agents
Several newer agents, including temozolomide and bendamustine, have activity in relapsed SCLC. Of note, temozolomide yielded a response rate of 38% for brain metastases due to SCLC.[65]
In a clinical trial of 50 patients, a combination of olaparib and temozolomide in relapsed small-cell lung cancer yielded an overall response rate of 41.7%, median progression-free survival of 4.2 months, and overall survival was 8.5 months.[66]
Lurbinectedin showed an increased overall survival rate in relapsed small cell lung cancer in a trial.[67] Lurbinectedin is As of 2019 available in the U.S. under an expanded access program (EAP).[68][69][70]
Trilaciclib, a CKD4/6 inhibitor, reduces chemotherapy-induced toxicity in patients being treated for small-cell lung cancer.[71][72][73]
In 2021, the FDA approved trilaciclib (Cosela) as a treatment to reduce the frequency of chemotherapy-induced myelosuppression for patients receiving certain types of chemotherapy for extensive-stage small-cell lung cancer.[74]
Prognosis
As of 2015, 5-year survival rates for small cell lung cancer (extensive and limited) range between 3.6% and 32.2% for women, and between 2.2% and 24.5% for men.[75] Relative 5-year survival rate for both sexes has increased from 3.6% in 1975 to 6.7% in 2014.[75] In limited-stage disease, the relative 5-year survival rate (both sexes, all races, all ages) is 21.3%; however, women have higher 5-year survival rates, 26.9%, and men have lower survival rates, 21.3%.[76] The prognosis is far grimmer in extensive-stage small-cell lung carcinoma where 5-year relative survival rate (both sexes, all races, all ages) is 2.8%; however, women have higher 5-year survival rates, 3.4%, and men have lower 5-year survival rates, 2.2%.[76]
Small-cell carcinoma is very responsive to chemotherapy and radiotherapy, and in particular, regimens based on platinum-containing agents. However, most people with the disease relapse, and median survival remains low. The overall incidence and mortality rates of SCLC in the United States have decreased during the past few decades.[77]
Long-term survival of more than 5 years can be achieved with proper treatment. According to the 17th World Conference on Lung Cancer (WCLC), "patients who received chest radiation and prophylactic cranial irradiation along with a mean of five chemotherapy cycles could achieve a median survival of more than 5 years."[78][75] In some cases, long-term survival of 10+ years is achieved with chemotherapy and radiation alone.[79][80]
A 2023 article stated that the median overall survival is about 1 year, the worst of any lung cancer subtype.[81]
Epidemiology

Small cell lung carcinoma accounts for 15% of lung cancers in the United States.[83] Small cell lung cancer occurs almost exclusively in smokers – most commonly in heavy smokers and rarely in non-smokers.[84][85]
Society
In 2013, the US Congress passed the Recalcitrant Cancer Research Act, which mandated increased attention to certain recalcitrant cancers (cancers having a 5-year relative survival rate of less than 50%), including small cell lung cancer. That led to the National Cancer Institute supporting small cell-specific research.[86][87]
Notable cases
- Dustin Diamond, perhaps best known as an actor on Saved by the Bell, died one month after the diagnosis.[88]
- Asbjørn Sennels, Danish football player, died three months after the diagnosis.[89]
Additional images
-
Anaplastic (microcellular, oat cell) carcinoma from the lung (histopathology) -
Histopathologic image of small-cell carcinoma of the lung. CT-guided core needle biopsy.
References
- ^ "small-cell carcinoma" at Dorland's Medical Dictionary
- ^ Nasu K, Hirakawa T, Okamoto M, Nishida M, Kiyoshima C, Matsumoto H, et al. (March 2011). "Advanced small cell carcinoma of the uterine cervix treated by neoadjuvant chemotherapy with irinotecan and cisplatin followed by radical surgery". Rare Tumors. 3 (1): 18–20. doi:10.4081/rt.2011.e6. PMC 3070456. PMID 21464879.
- ^ Capizzello A, Peponi E, Simou N, Ntaskagiannis D, Tasiou I, Kamina S, et al. (February 2011). "Pure small cell carcinoma of the prostate: a case report and literature review". Case Reports in Oncology. 4 (1): 88–95. doi:10.1159/000324717. PMC 3072185. PMID 21475596.
- ^ a b Basumallik N, Agarwal N (2023). "Small Cell Lung Cancer". StatPearls. Treasure Island (FL): StatPearls Publishing. PMID 29494065. Retrieved 2023-10-02.
- ^ a b c Megyesfalvi Z, Gay CM, Popper H, Pirker R, Ostoros G, Heeke S, et al. (2023). "Clinical insights into small cell lung cancer: Tumor heterogeneity, diagnosis, therapy, and future directions". CA: A Cancer Journal for Clinicians. 73 (6): 620–652. doi:10.3322/caac.21785. ISSN 1542-4863. PMID 37329269.
- ^ "Small Cell Lung Cancer". National Organization for Rare Disorders.
- ^ "Small cell carcinoma of the Lung and Bronchus". Surveillance, Epidemiology, and End Results (SEER) Relative Survival Rates by Time Since Diagnosis. U.S. National Cancer Institute. 2016.
- ^ "Small cell carcinoma of the Lung and Bronchus SEER 5-Year Relative Survival Rates, 2011-2017 By Sex and Race/Ethnicity, Ages 50-64, Distant". Surveillance, Epidemiology, and End Results (SEER) Relative Survival Rates by Time Since Diagnosis. U.S. National Cancer Institute. 2016.
- ^ Chan BA, Coward JI (October 2013). "Chemotherapy advances in small-cell lung cancer". Journal of Thoracic Disease. 5 (Suppl 5): S565 – S578. doi:10.3978/j.issn.2072-1439.2013.07.43. PMC 3804877. PMID 24163749.
- ^ Argiris A, Murren JR (2001). "Staging and clinical prognostic factors for small-cell lung cancer". Cancer Journal. 7 (5): 437–447. PMID 11693903.
- ^ Selby K. "Small Cell Mesothelioma". The Mesothelioma Center.
- ^ Cotran, Ramzi S., Kumar, Vinay, Fausto, Nelson, Nelso Fausto, Robbins, Stanley L., Abbas, Abul K. (2005). Robbins and Cotran pathologic basis of disease. St. Louis, Mo: Elsevier Saunders. p. 759. ISBN 978-0-7216-0187-8.
- ^ a b Mitchell, Richard Sheppard, Kumar, Vinay, Abbas, Abul K., Fausto, Nelson (2007). "Ch. 13, box on morphology of small-cell lung carcinoma". Robbins Basic Pathology (8th ed.). Philadelphia: Saunders. ISBN 978-1-4160-2973-1.
- ^ a b Tammela T, Sage J (March 2020). "Investigating Tumor Heterogeneity in Mouse Models". Annual Review of Cancer Biology. 4 (1): 99–119. doi:10.1146/annurev-cancerbio-030419-033413. PMC 8218894. PMID 34164589.
- ^ a b c Travis WD, Brambilla E, Muller-Hermelink HK, Harris CC, eds. (2004). Pathology and Genetics of Tumours of the Lung, Pleura, Thymus and Heart (PDF). World Health Organization Classification of Tumours. Lyon: IARC Press. ISBN 978-92-832-2418-1. Archived (PDF) from the original on 23 August 2009. Retrieved 27 March 2010.
- ^ Pelosi G, Sonzogni A, Galetta D, Perrone F, Braidotti P, Manzotti M, et al. (April 2011). "Combined small-cell carcinoma of the lung with quadripartite differentiation of epithelial, neuroendocrine, skeletal muscle, and myofibroblastic type". Virchows Archiv. 458 (4): 497–503. doi:10.1007/s00428-010-1011-8. PMID 21210145. S2CID 19159554.
- ^ Gotoh M, Yamamoto Y, Huang CL, Yokomise H (November 2004). "A combined small cell carcinoma of the lung containing three components: small cell, spindle cell and squamous cell carcinoma". European Journal of Cardio-Thoracic Surgery. 26 (5): 1047–1049. doi:10.1016/j.ejcts.2004.08.002. PMID 15519208.
- ^ Ismaili N (November 2011). "A rare bladder cancer--small cell carcinoma: review and update". Orphanet Journal of Rare Diseases. 6 (75): 75. doi:10.1186/1750-1172-6-75. PMC 3253713. PMID 22078012.
- ^ Extrapulmonary Small Cell Carcinoma at eMedicine
- ^ "Merkel-cell carcinima". Dynamed. Retrieved 2021-08-01.
- ^ Cicin I, Usta U, Karagol H, Uzunoglu S, Kocak Z (2009). "Extrapulmonary small cell carcinoma localized in lymph nodes: is it a different clinical entity?". Acta Oncologica. 48 (3): 354–360. doi:10.1080/02841860802495370. PMID 18979286.
- ^ Nutting C, Horwich A, Fisher C, Parsons C, Dearnaley DP (June 1997). "Small-cell carcinoma of the prostate". Journal of the Royal Society of Medicine. 90 (6): 340–341. doi:10.1177/014107689709000615. PMC 1296316. PMID 9227387.
- ^ Erasmus CE, Verhagen WI, Wauters CA, van Lindert EJ (November 2002). "Brain metastasis from prostate small cell carcinoma: not to be neglected". The Canadian Journal of Neurological Sciences. Le Journal Canadien des Sciences Neurologiques. 29 (4): 375–377. doi:10.1017/S0317167100002250. PMID 12463494.
- ^ Nakazawa K, Kurishima K, Tamura T, Kagohashi K, Ishikawa H, Satoh H, et al. (October 2012). "Specific organ metastases and survival in small cell lung cancer". Oncology Letters. 4 (4): 617–620. doi:10.3892/ol.2012.792. PMC 3506697. PMID 23205072.
- ^ Ko J, Winslow MM, Sage J (January 2021). "Mechanisms of small cell lung cancer metastasis". EMBO Molecular Medicine. 13 (1): e13122. doi:10.15252/emmm.202013122. PMC 7799359. PMID 33296145.
- ^ Babar SM (October 2013). "SIADH associated with ciprofloxacin". The Annals of Pharmacotherapy. 47 (10): 1359–1363. doi:10.1177/1060028013502457. PMID 24259701. S2CID 36759747.
- ^ a b Titulaer MJ, Verschuuren JJ (2008). "Lambert-Eaton myasthenic syndrome: tumor versus nontumor forms". Annals of the New York Academy of Sciences. 1132 (1): 129–134. Bibcode:2008NYASA1132..129T. doi:10.1196/annals.1405.030. PMID 18567862. S2CID 22482871.
- ^ "Lung: Translocations in Small Cell Carcinoma". atlasgeneticsoncology.org. Archived from the original on 30 January 2015. Retrieved 30 April 2018.
- ^ "Mitelman Database of Chromosome Aberrations and Gene Fusions in Cancer". Archived from the original on 2016-05-29.
- ^ "Atlas of Genetics and Cytogenetics in Oncology and Haematology". atlasgeneticsoncology.org. Archived from the original on 2011-02-23.
- ^ Image by Mikael Häggström, MD. Source for findings: Caroline IM, Underwood CG. "Lung - Small cell carcinoma". Pathology Outlines. Last author update: 20 September 2022
- ^ Leslie M (November 2011). "Mysteries of the cell. How does a cell know its size?". Science. 334 (6059): 1047–1048. doi:10.1126/science.334.6059.1047. PMID 22116854.
- ^ "Small Cell Lung Cancer: Symptoms, Causes & Treatment". Cleveland Clinic. Retrieved 11 January 2025.
- ^ Wang Y, Qu L, Hao Y (August 2009). "[The pitfall of transbronchial lung biopsy in the small cell carcinoma--attach 64 cases immunohistochemistry research.]". Zhongguo Fei AI Za Zhi = Chinese Journal of Lung Cancer. 12 (8): 901–904. doi:10.3779/j.issn.1009-3419.2009.08.14. PMID 20719180.
This article incorporates text available under the CC BY 3.0 license.
- ^ Cheng H, Perez-Soler R (January 2018). "Leptomeningeal metastases in non-small-cell lung cancer". The Lancet. Oncology. 19 (1): e43 – e55. doi:10.1016/S1470-2045(17)30689-7. PMID 29304362.
- ^ a b c Ganti AK, Loo BW, Bassetti M, Blakely C, Chiang A, D'Amico TA, et al. (December 2021). "Small Cell Lung Cancer, Version 2.2022, NCCN Clinical Practice Guidelines in Oncology". Journal of the National Comprehensive Cancer Network. 19 (12): 1441–1464. doi:10.6004/jnccn.2021.0058. PMC 10203822. PMID 34902832.
- ^ a b Zhang-Yin JT, Girard A, Bertaux M (February 2022). "What Does PET Imaging Bring to Neuro-Oncology in 2022? A Review". Cancers. 14 (4): 879. doi:10.3390/cancers14040879. PMC 8870476. PMID 35205625.
This article incorporates text available under the CC BY 4.0 license.
- ^ Wang Y, Xia W, Liu B, Zhou L, Ni M, Zhang R, et al. (June 2021). "Exploration of spatial distribution of brain metastasis from small cell lung cancer and identification of metastatic risk level of brain regions: a multicenter, retrospective study". Cancer Imaging. 21 (1) 41. doi:10.1186/s40644-021-00410-w. PMC 8201893. PMID 34120659.
This article incorporates text available under the CC BY 4.0 license.
- ^ Zhu Y, Cui Y, Zheng X, Zhao Y, Sun G (December 2022). "Small-cell lung cancer brain metastasis: From molecular mechanisms to diagnosis and treatment". Biochimica et Biophysica Acta (BBA) - Molecular Basis of Disease. 1868 (12): 166557. doi:10.1016/j.bbadis.2022.166557. PMID 36162624.}
This article incorporates text available under the CC BY 4.0 license.
- ^ "Limited-stage small cell lung cancer: Initial management". www.uptodate.com. UpToDate. Retrieved 2019-06-02.
- ^ a b "Small Cell Lung Cancer Treatment". National Cancer Institute. U.S.: National Cancer Institute, United States Department of Health and Human Services. 1980-01-01. Retrieved 2019-06-02.
- ^ Sherman CA, Rocha Lima CM, Turrisi AT (October 2000). "Limited small-cell lung cancer: a potentially curable disease". Oncology. 14 (10): 1395–403, discussion 1403–4, 1409. PMID 11098505. Archived from the original on 2019-02-05. Retrieved 2021-08-01.
- ^ Singer L, Yom SS (June 2015). "Consolidative radiation therapy for extensive-stage small cell lung cancer". Translational Lung Cancer Research. 4 (3): 211–214. doi:10.3978/j.issn.2218-6751.2015.04.02. PMC 4483471. PMID 26207205.
- ^ Mountain CF (September 1978). "Clinical biology of small cell carcinoma: relationship to surgical therapy". Seminars in Oncology. 5 (3): 272–279. PMID 211638.
- ^ Shepherd FA (February 2010). "Surgery for limited stage small cell lung cancer: time to fish or cut bait". Journal of Thoracic Oncology. 5 (2): 147–149. doi:10.1097/JTO.0b013e3181c8cbf5. PMID 20101141.
- ^ a b Pelayo Alvarez M, Westeel V, Cortés-Jofré M, Bonfill Cosp X (November 2013). "Chemotherapy versus best supportive care for extensive small cell lung cancer". The Cochrane Database of Systematic Reviews (11): CD001990. doi:10.1002/14651858.CD001990.pub3. PMC 11364206. PMID 24282143.
- ^ Stordal B, Pavlakis N, Davey R (December 2007). "A systematic review of platinum and taxane resistance from bench to clinic: an inverse relationship" (PDF). Cancer Treatment Reviews. 33 (8): 688–703. doi:10.1016/j.ctrv.2007.07.013. hdl:2123/4068. PMID 17881133.
- ^ Kim SH, Kim MJ, Kim YJ, Chang H, Kim JW, Lee JO, et al. (October 2017). "Paclitaxel as third-line chemotherapy for small cell lung cancer failing both etoposide- and camptothecin-based chemotherapy". Medicine. 96 (42): e8176. doi:10.1097/MD.0000000000008176. PMC 5662365. PMID 29049199.
- ^ "Zepzelca: FDA-Approved Drugs". U.S. Food and Drug Administration (FDA). Archived from the original on October 19, 2020. Retrieved 15 June 2020.
- ^ "Zepzelca- lurbinectedin injection, powder, lyophilized, for solution". DailyMed. 15 June 2020. Retrieved 24 September 2020.
- ^ "Jazz Pharmaceuticals Announces U.S. FDA Accelerated Approval of Zepzelca (lurbinectedin) for the Treatment of Metastatic Small Cell Lung Cancer" (Press release). Jazz Pharmaceuticals. 15 June 2020. Retrieved 15 June 2020 – via PR Newswire.
- ^ "FDA grants accelerated approval to lurbinectedin for metastatic small". U.S. Food and Drug Administration (FDA). 15 June 2020. Archived from the original on June 18, 2020. Retrieved 16 June 2020.
This article incorporates text from this source, which is in the public domain.
- ^ "Drug Trials Snapshots: Zepzelca". U.S. Food and Drug Administration (FDA). 15 June 2020. Archived from the original on December 22, 2020. Retrieved 28 June 2020.
This article incorporates text from this source, which is in the public domain.
- ^ "FDA Approves Opdivo for Small Cell Lung Cancer Treatment". Cure Today. 17 August 2018.
- ^ "FDA Approves Opdivo (Nivolumab) for Small Cell Lung Cancer". cancer.org.
- ^ "FDA approves atezolizumab for extensive-stage small cell lung cancer". U.S. Food and Drug Administration. Archived from the original on March 20, 2019.
- ^ "Concurrent Tecentriq Adds First Survival Benefit Seen in Small Cell Lung Cancer in 20 Years". curetoday.com. 25 September 2018.
- ^ "FDA grants accelerated approval to tarlatamab-dlle for extensive stage small cell lung cancer". U.S. Food and Drug Administration (FDA). 16 May 2024. Retrieved 17 May 2024.
This article incorporates text from this source, which is in the public domain.
- ^ "FDA approves Imdelltra (tarlatamab-dlle), the first and only T-cell engager therapy for the treatment of extensive-stage small cell lung cancer" (Press release). Amgen. 16 May 2024. Retrieved 18 May 2024 – via PR Newswire.
- ^ "Canadian regulator considers changes to new drug pricing plan". Reuters. 20 February 2020. Archived from the original on February 22, 2020.
- ^ "NICE Cites Cost in Deciding Against Atezolizumab for Frontline Advanced Small Cell Lung Cancer". Reuters. 6 January 2020.
- ^ "Study: Chest Radiation Helps Small Cell Lung Cancer Patients Live Longer". cancer.org.
- ^ "Treatment for Small Cell Lung Cancer". Canadian Cancer Society. May 2020.
- ^ Mouri A, Yamaguchi O, Miyauchi S, Shiono A, Utsugi H, Nishihara F, et al. (January 2019). "Combination therapy with carboplatin and paclitaxel for small cell lung cancer". Respiratory Investigation. 57 (1): 34–39. doi:10.1016/j.resinv.2018.09.004. PMID 30528688. S2CID 54471245.
- ^ a b Qin A, Kalemkerian GP (June 2018). "Treatment Options for Relapsed Small-Cell Lung Cancer: What Progress Have We Made?". Journal of Oncology Practice. 14 (6): 369–370. doi:10.1200/JOP.18.00278. PMID 29894661.
- ^ Farago AF, Yeap BY, Stanzione M, Hung YP, Heist RS, Marcoux JP, et al. (October 2019). "Combination Olaparib and Temozolomide in Relapsed Small-Cell Lung Cancer". Cancer Discovery. 9 (10): 1372–1387. doi:10.1158/2159-8290.CD-19-0582. PMC 7319046. PMID 31416802.
- ^ Paz-Ares LG, Trigo Perez JM, Besse B, Moreno V, Lopez R, Sala MA, et al. (2019). "Efficacy and safety profile of lurbinectedin in second-line SCLC patients: Results from a phase II single-agent trial". Journal of Clinical Oncology. 37 (supl, abstr 8506): 8506. doi:10.1200/JCO.2019.37.15_suppl.8506. S2CID 190884224.
- ^ "PharmaMar and Bionical Emas Launch Expanded Access Program for Lurbinectedin in Relapsed Small Cell Lung Cancer in the U.S." Bionical Emas (Press release) – via www.prnewswire.com.
- ^ Calvo E, Moreno V, Flynn M, Holgado E, Olmedo ME, Lopez Criado MP, et al. (October 2017). "Antitumor activity of lurbinectedin (PM01183) and doxorubicin in relapsed small-cell lung cancer: results from a phase I study". Annals of Oncology. 28 (10): 2559–2566. doi:10.1093/annonc/mdx357. PMC 5834091. PMID 28961837.
- ^ Farago AF, Drapkin BJ, Lopez-Vilarino de Ramos JA, Galmarini CM, Núñez R, Kahatt C, et al. (January 2019). "ATLANTIS: a Phase III study of lurbinectedin/doxorubicin versus topotecan or cyclophosphamide/doxorubicin/vincristine in patients with small-cell lung cancer who have failed one prior platinum-containing line". Future Oncology. 15 (3): 231–239. doi:10.2217/fon-2018-0597. PMC 6331752. PMID 30362375.
- ^ Weiss JM, Csoszi T, Maglakelidze M, Hoyer RJ, Beck JT, Domine Gomez M, et al. (October 2019). "Myelopreservation with the CDK4/6 inhibitor trilaciclib in patients with small-cell lung cancer receiving first-line chemotherapy: a phase Ib/randomized phase II trial". Annals of Oncology. 30 (10): 1613–1621. doi:10.1093/annonc/mdz278. PMC 6857609. PMID 31504118.
- ^ "FDA Grants Priority Review to Trilaciclib to Treat Patients with SCLC". Cancer Network. 17 August 2020. Retrieved 2020-12-04.
- ^ "Trilaciclib | intravenous CDK4/6 inhibitor | G1 Therapeutics, Inc". www.g1therapeutics.com. Retrieved 2020-12-28.
- ^ Office of the Commissioner (2021-02-12). "FDA Approves Drug to Reduce Bone Marrow Suppression Caused by Chemotherapy". FDA. Archived from the original on February 12, 2021. Retrieved 2021-02-16.
- ^ a b c "Table 15.13: Small Cell Cancer of the Lung and Bronchus (Invasive), 5-Year Relative and Period Survival by Race, Sex, Diagnosis Year, Age and Stage at Diagnosis". The SEER Cancer Statistics Review 1975-2015. Surveillance, Epidemiology, and End Results (SEER), U.S. National Cancer Institute.
- ^ a b "Small cell carcinoma of the Lung and Bronchus SEER Relative Survival Rates by Time Since Diagnosis, 2004-2017 By Stage at Diagnosis, Male, All Races (includes Hispanic), All Ages". Surveillance, Epidemiology, and End Results (SEER) Relative Survival Rates by Time Since Diagnosis. U.S. National Cancer Institute. 2016.
- ^ "Small Cell Lung Cancer Treatment". National Cancer Institute.
- ^ Davenport L (20 December 2016). "Exceptional SCLC Survivors: 5-Year Median Survival". Medscape.
- ^ Ketteler J (October 16, 2009). "Lung cancer report: "They said it was bronchitis"". Self.
- ^ "Focus on immunotherapy and patient perspective highlight the IASLC 2019 Small Cell Lung Cancer Meeting". The International Association for the Study of Lung Cancer (IASLC). 2019.
- ^ "SCLC Prognosis Remains 'Unsatisfactory' Despite Numerous Treatment Options". Cancer Network. 12 April 2023.
- ^ Smokers defined as current or former smokers of more than 1 year of duration. See image page in Commons for percentages in numbers. Reference:
- Kenfield SA, Wei EK, Stampfer MJ, Rosner BA, Colditz GA (June 2008). "Comparison of aspects of smoking among the four histological types of lung cancer". Tobacco Control. 17 (3): 198–204. doi:10.1136/tc.2007.022582. PMC 3044470. PMID 18390646.
- ^ World Cancer Report 2014. World Health Organization. 2014. pp. Chapter 5.1. ISBN 978-9283204299.
- ^ Ettinger DS, Aisner J (October 2006). "Changing face of small-cell lung cancer: real and artifact". Journal of Clinical Oncology. 24 (28): 4526–4527. doi:10.1200/jco.2006.07.3841. PMID 17008688.
- ^ Muscat JE, Wynder EL (January 1995). "Lung cancer pathology in smokers, ex-smokers and never smokers". Cancer Letters. 88 (1): 1–5. doi:10.1016/0304-3835(94)03608-l. PMID 7850764.
- ^ Richards S (7 February 2019). "A new focus on small cell lung cancer". Fred Hutch.
- ^ Augert A, Eastwood E, Ibrahim AH, Wu N, Grunblatt E, Basom R, et al. (February 2019). "Targeting NOTCH activation in small cell lung cancer through LSD1 inhibition". Science Signaling. 12 (567): eaau2922. doi:10.1126/scisignal.aau2922. PMC 6530478. PMID 30723171.
- ^ "Dustin Diamond, 'Saved by the Bell' Star, Dead at 44". Entertainment Tonight. February 2021. Retrieved 2021-02-06.
- ^ "Asbjørn Sennels". Ekstra Bladet [Extra Magazine] (in Danish). 9 July 2023.
