Adenosquamous carcinoma
| Adenosquamous carcinoma | |
|---|---|
![]() | |
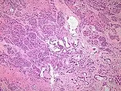
| Micrograph of an adenosquamous carcinoma of the lung. The adeno- or glandular component is on the left of the image and the squamous component on the right of the image. H&E stain. | |
| Specialty | Oncology |
Adenosquamous carcinoma is a type of cancer that contains two types of cells: squamous cells (thin, flat cells that line certain organs) and gland-like cells. It has been associated with more aggressive characteristics when compared to adenocarcinoma in certain cancers.[1][2] It is responsible for 1% to 4% of exocrine forms of pancreas cancer.[3]
Diagnosis

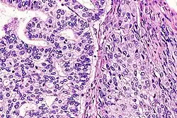
Light microscopy shows a combination of gland-like cells and squamous epithelial cells.[4] On immunohistochemistry, it is typically positive for CK5/6, CK7 and p63, and negative for CK20, p16 and p53. On genetic testing, KRAS and p53 are typically altered.[4]
References
- ^ Mahendraraj K, Di Como JA, Chamberlain RS (October 2014). "Adenosquamous carcinoma of the pancreas: a population based clinical outcomes studies involving 700 patients from the Surveillance, Epidemiology, and End Results (SEER) database (1973-2010)". Journal of the American College of Surgeons. 219 (4): 109. doi:10.1016/j.jamcollsurg.2014.07.676.
- ^ Di Como JA (October 2015). "Adenosquamous carcinoma of the colon and rectum: a population based clinical outcomes study involving 578 patients from the Surveillance Epidemiology and End Result (SEER) database (1973-2010)". Journal of the American College of Surgeons. 221 (4): 56. doi:10.1016/j.jamcollsurg.2015.08.044.
- ^ Skafida E, Grammatoglou X, Glava C, Zissis D, Paschalidis N, Katsamagkou E, et al. (February 2010). "Adenosquamous carcinoma of the pancreas: a case report". Cases Journal. 3 (1) 41. doi:10.1186/1757-1626-3-41. PMC 2825199. PMID 20205828.
- ^ a b Pishvaian MJ, Brody JR (March 2017). "Therapeutic Implications of Molecular Subtyping for Pancreatic Cancer". Oncology. 31 (3): 159–66, 168. PMID 28299752.
External links
- Adenosquamous carcinoma entry in the public domain NCI Dictionary of Cancer Terms
This article incorporates public domain material from Dictionary of Cancer Terms. U.S. National Cancer Institute.
