Central pontine myelinolysis
| Central pontine myelinolysis | |
|---|---|
| Other names | Osmotic demyelination syndrome, central pontine demyelination |
![]() | |
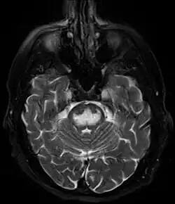
| Axial fat-saturated T2-weighted image showing hyperintensity in the pons with sparing of the peripheral fibers, the patient was an alcoholic admitted with a serum Na of 101 treated with hypertonic saline, he was left with quadriparesis, dysarthria, and altered mental status | |
| Specialty | Neurology |
| Causes | Alcoholism, malnutrition |
Central pontine myelinolysis (CPM) is a neurological condition involving severe damage to the myelin sheath of nerve cells in the pons (an area of the brainstem). It is predominantly iatrogenic (treatment-induced), and is characterized by acute paralysis, dysphagia (difficulty swallowing), dysarthria (difficulty speaking), and other neurological symptoms.
Central pontine myelinolysis was first described as a disorder in 1959. The original paper[1] described four cases with fatal outcomes, and the findings on autopsy. The disease was described as a disease of alcoholics and malnutrition.[2] 'Central pontine' indicated the site of the lesion, and 'myelinolysis' was used to emphasise that myelin was affected. The authors intentionally avoided the term 'demyelination' to describe the condition, to differentiate this condition from multiple sclerosis and other neuroinflammatory disorders.[3]
Since this original description, demyelination in other areas of the central nervous system associated with osmotic stress has been described outside the pons (extrapontine).[4] Osmotic demyelination syndrome (ODS) is the term used for both central pontine myelinolysis and extrapontine myelinolysis.[5]
Central pontine myelinolysis and osmotic demyelination syndrome present most commonly as a complication of treatment of patients with profound hyponatremia (low sodium), which can result from a varied spectrum of conditions, based on different mechanisms. It occurs as a consequence of a rapid rise in serum tonicity following treatment in individuals with chronic, severe hyponatremia who have made intracellular adaptations to the prevailing hypotonicity.[6][7]
Signs and symptoms

Symptoms depend on the regions of the brain involved. Before its onset, patients may present with the neurological signs and symptoms of hyponatraemic encephalopathy such as nausea and vomiting, confusion, headache and seizures. These symptoms may resolve with normalisation of the serum sodium concentration. Three to five days later, a second phase of neurological manifestations occurs, correlating with the onset of myelinolysis. Observable immediate precursors may include seizures, disturbed consciousness, gait changes, and decrease or cessation of respiratory function.[8][9]
The classical clinical presentation is the progressive development of spastic quadriparesis, pseudobulbar palsy, and emotional lability (pseudobulbar affect), with other more variable neurological features associated with brainstem damage. These result from a rapid myelinolysis of the corticobulbar and corticospinal tracts in the brainstem.[10]
Approximately 10% of people with central pontine myelinolysis also develop extrapontine myelinolysis. In these cases, symptoms of Parkinson's disease may be generated.[2]
Causes

The most common cause is overly-rapid correction of low blood sodium levels (hyponatremia).[11] Apart from rapid correction of hyponatraemia, there are case reports of central pontine myelinolysis in association with hypokalaemia, anorexia nervosa when feeding is started, patients undergoing dialysis and burn victims. There is a case report of central pontine myelinolysis occurring in the context of refeeding syndrome, in the absence of hyponatremia.[3]
It has also been known to occur in patients suffering withdrawal symptoms of chronic alcoholism.[2] In these instances, occurrence may be entirely unrelated to hyponatremia or rapid correction of hyponatremia. It could affect patients who take some prescription medicines that are able to cross the blood-brain barrier and cause abnormal thirst reception - in this scenario, the central pontine myelinolysis is caused by polydipsia leading to low blood sodium levels (hyponatremia).
In schizophrenic patients with psychogenic polydipsia, inadequate thirst reception leads to excessive water intake, severely diluting serum sodium.[12] With this excessive thirst combined with psychotic symptoms, brain damage such as central pontine myelinolysis[13] may result from hyperosmolarity caused by excess intake of fluids, (primary polydipsia) although this is difficult to determine because such patients are often institutionalised and have a long history of mental health conditions.[14]
It has been observed following hematopoietic stem cell transplantation.[15]
Central pontine myelinolysis may also occur in patients prone to hyponatremia affected by:
- Severe liver disease (e.g., cirrhosis)
- Liver transplant[16][17][18]
- Alcoholism
- Hypokalemia
- People with serum sodium <105 mEq/L
- Severe burns[19][20]
- Malnutrition
- Anorexia nervosa[21][22][23]
- Severe electrolyte disorders
- HIV/AIDS
- hyperemesis gravidarum[24][25]
- Hyponatremia due to peritoneal dialysis
- Wernicke encephalopathy[26]
Pathophysiology
The currently accepted theory states that the brain cells adjust their osmolarities by changing levels of certain osmolytes like inositol, betaine, and glutamine in response to varying serum osmolality. In the context of chronic low plasma sodium (hyponatremia), the brain compensates by decreasing the levels of these osmolytes within the cells, so that they can remain relatively isotonic with their surroundings and not absorb too much fluid. The reverse is true in hypernatremia, in which the cells increase their intracellular osmolytes so as not to lose too much fluid to the extracellular space.[27]
With correction of the hyponatremia with intravenous fluids, the extracellular tonicity increases, followed by an increase in intracellular tonicity. When the correction is too rapid, not enough time is allowed for the brain's cells to adjust to the new tonicity, namely by increasing the intracellular osmoles mentioned earlier. If the serum sodium levels rise too rapidly, the increased extracellular tonicity will continue to drive water out of the brain's cells. This can lead to cellular dysfunction and central pontine myelinolysis.[28][29]
Diagnosis
It can be diagnosed clinically in the appropriate context, but may be difficult to confirm radiologically using conventional imaging techniques. Changes are more prominent on MRI than on CT, but often take days or weeks after acute symptom onset to develop. Imaging by MRI typically demonstrates areas of hyperintensity on T2-weighted images.[30]
Prevention and Treatment
To minimise the risk of this condition developing from its most common cause, overly rapid reversal of hyponatremia, the hyponatremia should be corrected at a rate not exceeding 10 mmol/L/24 h or 0.5 mEq/L/h; or 18 mEq/L/48hrs; thus potentially avoiding demyelination[29] although ODS can still occur with rises in osmolality within recommended ranges. No large clinical trials have been performed to examine the efficacy of therapeutic re-lowering of serum sodium, or other interventions sometimes advocated, such as steroids or plasma exchange.[29] Alcoholic patients should receive vitamin supplementation and a formal evaluation of their nutritional status.[31][32]
The effect of therapeutic saline, in particular hypertonic saline, is often implicated in rapid rises in serum Na and osmolality when treating patients with hyponatraemia. The effect of saline is twofold. There is an initial redistribution/dilution that rarely causes an unsafe rise in Na/osmolality.
The rise in serum sodium due to redistribution alone can be estimated from the following equation.
Where Naserum is the concentration of the patient's plasma sodium, ECF is an estimate of extracellular water in litres (approximately body weight in kg x 0.2 for males and body weight x 0.17 for females), Nainfusate is the sodium concentration of the IV fluid and Vinfusate is the volume of the IV fluid in litres. For a 100kg man with a plasma Na of 105mmol/L given 300mLs of 2.7% saline (462mmol of Na), the final dilution of plasma sodium would only be 110mmol/L.
This initial 5mmol/L rise is usually sufficient to stabilise the patient's acute neurological deterioration due to cerebral oedema. Note that it is a rise in osmolality that is the treatment aim rather than Na itself - however, for simplicity, the Na is used as a measure of the osmolality, and the osmolar rise will be roughly twice the Na rise. Direct measurement of osmolality would be preferable, but the turnaround time in most hospital laboratories is too long to be useful, so serum Na is used, and therapeutic targets are set against this.
However, after the initial rise from this mixing of 300mLs of 2.7% saline with the patient's blood, there is an osmotic load (Na+ + Cl-) of 277mOsmol/kg available to the kidneys. With this load, the patient could then potentially produce a water diuresis of up to 7L (277 / 40). 40mOsmol/Kg is approximately the most dilute the urine can be in humans. This secondary water diuresis (sometimes termed aquaresis) usually happens in the subsequent 24 hours in patients at risk - usually in patients initially suffering from a relative antidiuresis the cause of which has been reversed (such as urinary obstruction, medication side effects or potomania). Patients with an antidiuresis in which the cause persists (such as small cell lung cancer or due to drug side effects that are long-lasting or have not been stopped) are less prone to aquaresis.
It is this secondary water diuresis that can cause a very rapid rise in serum sodium, sometimes greater than 2mmol/L/hr which can lead to ODS. Physicians treating patients at high risk of ODS should both measure plasma Na every 3-4 hours and also the urine output for at least 24 hours. If a brisk diuresis does occur (>2mL urine per kg body weight per hour) prophylactic desmopressin (4mg 8 hourly IV) can be given to limit free water clearance. If the patient does overshoot the recommended rise 5% dextrose in water can be given to bring the Na level back down to target levels.
Once osmotic demyelination has begun, there is no cure or specific treatment. Care is mainly supportive. People with alcohol use disorder are usually given vitamins to correct other deficiencies. The favourable factors contributing to the good outcome in central pontine myelinolysis without hyponatremia were: concurrent treatment of all electrolyte disturbances, early intensive care unit involvement at the advent of respiratory complications, early introduction of feeding, including thiamine supplements with close monitoring of the electrolyte changes and input.[3]
Research has led to improved outcomes.[33] Animal studies suggest that inositol reduces the severity of osmotic demyelination syndrome if given before attempting to correct chronic hyponatraemia.[34] Further study is required before using inositol in humans for this purpose.[35]
Prognosis
Though traditionally the prognosis is considered poor, a good functional recovery is possible. All patients at risk of developing refeeding syndrome should have their electrolytes closely monitored, including sodium, potassium, magnesium, glucose and phosphate.[3] Recent data indicate that the prognosis of critically ill patients may even be better than what is generally considered,[36] despite severe initial clinical manifestations and a tendency by the intensivists to underestimate a possible favorable evolution.[37] While some patients die, most survive, and of the survivors, approximately one-third recover; one-third are disabled but can live independently; one-third are severely disabled.[38] Permanent disabilities range from minor tremors and ataxia to signs of severe brain damage, such as spastic quadriparesis and locked-in syndrome.[39] Some improvements may be seen over the first several months after the condition stabilizes.
The degree of recovery depends on the extent of the original axonal damage.[28]
References
- ^ Adams RD, Victor M, Mancall EL (1959). "Central pontine myelinolysis: a hitherto undescribed disease occurring in alcoholic and malnourished patients". AMA Arch Neurol Psychiatry. 81 (2): 154–72. doi:10.1001/archneurpsyc.1959.02340140020004. PMID 13616772.
{{cite journal}}: CS1 maint: multiple names: authors list (link) - ^ a b c Yoon B, Shim YS, Chung SW (2008). "Central pontine and extrapontine myelinolysis after alcohol withdrawal". Alcohol and Alcoholism. 43 (6): 647–649. doi:10.1093/alcalc/agn050. PMID 18678596.
- ^ a b c d Bose P, Kunnacherry A, Maliakal P (September 2011). "Central pontine myelinolysis without hyponatraemia". The Journal of the Royal College of Physicians of Edinburgh. 41 (3): 211–214. doi:10.4997/JRCPE.2011.305. PMID 21949915.
- ^ Gocht A, Colmant HJ (1987). "Central pontine and extrapontine myelinolysis: a report of 58 cases". Clinical Neuropathology. 6 (6): 262–270. PMID 3322623.
- ^ Lampl C, Yazdi K (2002). "Central pontine myelinolysis". European Neurology. 47 (1): 3–10. doi:10.1159/000047939. PMID 11803185. S2CID 46885398. Archived from the original on 2012-03-06.
- ^ Babar SM (October 2013). "SIADH associated with ciprofloxacin". The Annals of Pharmacotherapy. 47 (10): 1359–1363. doi:10.1177/1060028013502457. PMID 24259701. S2CID 36759747.
- ^ Yoon B, Shim YS, Chung SW (2008). "Central pontine and extrapontine myelinolysis after alcohol withdrawal". Alcohol and Alcoholism. 43 (6): 647–649. doi:10.1093/alcalc/agn050. PMID 18678596.
- ^ Musana AK, Yale SH (August 2005). "Central pontine myelinolysis: case series and review". WMJ. 104 (6): 56–60. PMID 16218318.
- ^ Odier C, Nguyen DK, Panisset M (July 2010). "Central pontine and extrapontine myelinolysis: from epileptic and other manifestations to cognitive prognosis". Journal of Neurology. 257 (7): 1176–1180. doi:10.1007/s00415-010-5486-7. PMID 20148334. S2CID 25301314.
- ^ Karp BI, Laureno R (November 1993). "Pontine and extrapontine myelinolysis: a neurologic disorder following rapid correction of hyponatremia". Medicine. 72 (6): 359–373. doi:10.1097/00005792-199311000-00001. PMID 8231786. S2CID 24829955.
- ^ Bernsen HJ, Prick MJ (September 1999). "Improvement of central pontine myelinolysis as demonstrated by repeated magnetic resonance imaging in a patient without evidence of hyponatremia". Acta Neurologica Belgica. 99 (3): 189–193. PMID 10544728.
- ^ Donald H. "Psychogenic Polydipsia (Excessive Fluid seeking Behaviour)" (PDF). American Psychological Society Divisions. Archived (PDF) from the original on 2015-04-07.
- ^ Lim L, Krystal A (June 2007). "Psychotic disorder in a patient with central and extrapontine myelinolysis". Psychiatry and Clinical Neurosciences. 61 (3): 320–322. doi:10.1111/j.1440-1819.2007.01648.x. PMID 17472602.
- ^ Gill M, McCauley M (2015-01-21). "Psychogenic polydipsia: the result, or cause of, deteriorating psychotic symptoms? A case report of the consequences of water intoxication". Case Reports in Psychiatry. 2015: 846459. doi:10.1155/2015/846459. PMC 4320790. PMID 25688318.
- ^ Lim KH, Kim S, Lee YS, Kim KH, Kim J, Rhee J, et al. (April 2008). "Central pontine myelinolysis in a patient with acute lymphoblastic leukemia after hematopoietic stem cell transplantation: a case report". Journal of Korean Medical Science. 23 (2): 324–327. doi:10.3346/jkms.2008.23.2.324. PMC 2526450. PMID 18437020. Archived from the original on 2009-02-27.
- ^ Singh N, Yu VL, Gayowski T (March 1994). "Central nervous system lesions in adult liver transplant recipients: clinical review with implications for management". Medicine. 73 (2): 110–118. doi:10.1097/00005792-199403000-00004. PMID 8152365. S2CID 37808180.
- ^ Kato T, Hattori H, Nagato M, Kiuchi T, Uemoto S, Nakahata T, Tanaka K (April 2002). "Subclinical central pontine myelinolysis following liver transplantation". Brain & Development. 24 (3): 179–182. doi:10.1016/S0387-7604(02)00013-X. PMID 11934516. S2CID 22140717.
- ^ Martinez AJ, Estol C, Faris AA (May 1988). "Neurologic complications of liver transplantation". Neurologic Clinics. 6 (2): 327–348. doi:10.1016/S0733-8619(18)30873-9. PMID 3047544.
- ^ McKee AC, Winkelman MD, Banker BQ (August 1988). "Central pontine myelinolysis in severely burned patients: relationship to serum hyperosmolality". Neurology. 38 (8): 1211–1217. doi:10.1212/wnl.38.8.1211. PMID 3399069. S2CID 42068902.
- ^ Winkelman MD, Galloway PG (September 1992). "Central nervous system complications of thermal burns. A postmortem study of 139 patients". Medicine. 71 (5): 271–283. doi:10.1097/00005792-199209000-00002. PMID 1522803. S2CID 12872586.
- ^ Sugimoto T, Murata T, Omori M, Wada Y (March 2003). "Central pontine myelinolysis associated with hypokalaemia in anorexia nervosa". Journal of Neurology, Neurosurgery, and Psychiatry. 74 (3): 353–355. doi:10.1136/jnnp.74.3.353. PMC 1738317. PMID 12588925.
- ^ Keswani SC (April 2004). "Central pontine myelinolysis associated with hypokalaemia in anorexia nervosa". Journal of Neurology, Neurosurgery, and Psychiatry. 75 (4): 663, author reply 663. PMC 1739009. PMID 15026526.
- ^ Leroy S, Gout A, Husson B, de Tournemire R, Tardieu M (June 2012). "Centropontine myelinolysis related to refeeding syndrome in an adolescent suffering from anorexia nervosa". Neuropediatrics. 43 (3): 152–154. doi:10.1055/s-0032-1307458. PMID 22473289. S2CID 22751051.
- ^ Bergin PS, Harvey P (August 1992). "Wernicke's encephalopathy and central pontine myelinolysis associated with hyperemesis gravidarum". BMJ. 305 (6852): 517–518. doi:10.1136/bmj.305.6852.517. PMC 1882865. PMID 1393001.
- ^ Sutamnartpong P, Muengtaweepongsa S, Kulkantrakorn K (January 2013). "Wernicke's encephalopathy and central pontine myelinolysis in hyperemesis gravidarum". Journal of Neurosciences in Rural Practice. 4 (1): 39–41. doi:10.4103/0976-3147.105608. PMC 3579041. PMID 23546346.
- ^ Kishimoto Y, Ikeda K, Murata K, Kawabe K, Hirayama T, Iwasaki Y (2012). "Rapid development of central pontine myelinolysis after recovery from Wernicke encephalopathy: a non-alcoholic case without hyponatremia". Internal Medicine. 51 (12): 1599–1603. doi:10.2169/internalmedicine.51.7498. PMID 22728498.
- ^ Gankam Kengne, Fabrice; Decaux, Guy (2017-09-01). "Hyponatremia and the Brain". Kidney International Reports. 3 (1): 24–35. doi:10.1016/j.ekir.2017.08.015. ISSN 2468-0249. PMC 5762960. PMID 29340311.
- ^ a b Medana IM, Esiri MM (March 2003). "Axonal damage: a key predictor of outcome in human CNS diseases". Brain. 126 (Pt 3): 515–530. doi:10.1093/brain/awg061. PMID 12566274.
- ^ a b c Spasovski G, Vanholder R, Allolio B, Annane D, Ball S, Bichet D, et al. (March 2014). "Clinical practice guideline on diagnosis and treatment of hyponatraemia". European Journal of Endocrinology. 170 (3): G1-47. doi:10.1530/eje-13-1020. PMID 24569125.
- ^ Zimny A, Neska-Matuszewska M, Bladowska J, Sąsiadek MJ (2015). "Intracranial Lesions with Low Signal Intensity on T2-weighted MR Images - Review of Pathologies". Polish Journal of Radiology. 80: 40–50. doi:10.12659/PJR.892146. PMC 4307690. PMID 25628772.
- ^ Kleinschmidt-DeMasters BK, Norenberg MD (March 1981). "Rapid correction of hyponatremia causes demyelination: relation to central pontine myelinolysis". Science. 211 (4486): 1068–1070. Bibcode:1981Sci...211.1068K. doi:10.1126/science.7466381. PMID 7466381.
- ^ Laureno R (1980). "Experimental pontine and extrapontine myelinolysis". Transactions of the American Neurological Association. 105: 354–358. PMID 7348981.
- ^ Brown WD (December 2000). "Osmotic demyelination disorders: central pontine and extrapontine myelinolysis". Current Opinion in Neurology. 13 (6): 691–697. doi:10.1097/00019052-200012000-00014. PMID 11148672. S2CID 36063964.
- ^ Silver SM, Schroeder BM, Sterns RH, Rojiani AM (January 2006). "Myoinositol administration improves survival and reduces myelinolysis after rapid correction of chronic hyponatremia in rats". Journal of Neuropathology and Experimental Neurology. 65 (1): 37–44. doi:10.1097/01.jnen.0000195938.02292.39. PMID 16410747.
- ^ "INOSITOL: Overview, Uses, Side Effects, Precautions, Interactions, Dosing and Reviews". www.webmd.com. Retrieved 2021-10-14.
- ^ Louis G, Megarbane B, Lavoué S, Lassalle V, Argaud L, Poussel JF, et al. (March 2012). "Long-term outcome of patients hospitalized in intensive care units with central or extrapontine myelinolysis*". Critical Care Medicine. 40 (3): 970–972. doi:10.1097/CCM.0b013e318236f152. PMID 22036854. S2CID 205542487.
- ^ Young GB (March 2012). "Central pontine myelinolysis: a lesson in humility*". Critical Care Medicine. 40 (3): 1026–1027. doi:10.1097/CCM.0b013e31823b8e0b. PMID 22343870.
- ^ Abbott R, Silber E, Felber J, Ekpo E (October 2005). "Osmotic demyelination syndrome". BMJ. 331 (7520): 829–830. doi:10.1136/bmj.331.7520.829. PMC 1246086. PMID 16210283.
- ^ Luzzio C (17 November 2015). "Central Pontine Myelinolysis". Medscape. Retrieved 14 March 2017.
External links
- MedPix Images of Osmotic Myelinolysis
