Enolase 2

ENO2
Available structures
PDBOrtholog search: PDBe RCSB
Identifiers
AliasesENO2, HEL-S-279, NSE, Enolase 2
External IDsOMIM: 131360; MGI: 95394; HomoloGene: 74414; GeneCards: ENO2; OMA:ENO2 - orthologs
Orthologs
SpeciesHumanMouse
Entrez

2026

13807

Ensembl

ENSG00000111674

ENSMUSG00000004267

UniProt

P09104
Q6FHV6

P17183

RefSeq (mRNA)

NM_001975

NM_013509
NM_001302642
NM_001355220

RefSeq (protein)

NP_001966
NP_001966.1

NP_001289571
NP_038537
NP_001342149

Location (UCSC)Chr 12: 6.91 – 6.92 MbChr 6: 124.74 – 124.75 Mb
PubMed search[3][4]
Wikidata
View/Edit HumanView/Edit Mouse

Gamma-enolase, also known as enolase 2 (ENO2) or neuron specific enolase (NSE), is an enzyme that in humans is encoded by the ENO2 gene.[5][6] Gamma-enolase is a phosphopyruvate hydratase.

Gamma-enolase is one of the three enolase isoenzymes found in mammals. This isoenzyme, a homodimer, is found in mature neurons and cells of neuronal origin. A switch from alpha enolase to gamma enolase occurs in neural tissue during development in rats and primates.[5]

Interactive pathway map

Click on genes, proteins and metabolites below to link to respective articles.[§ 1]

[[File:
GlycolysisGluconeogenesis_WP534go to articlego to articlego to articlego to articlego to articlego to articlego to articlego to articlego to articlego to articlego to articlego to articlego to articlego to articlego to articlego to articlego to articlego to articlego to articlego to articlego to articlego to articlego to articlego to articlego to articlego to articlego to articlego to articlego to articlego to articlego to articlego to articlego to articlego to articlego to articlego to articlego to articlego to articlego to articlego to articlego to articlego to articlego to articlego to articlego to articlego to articlego to articlego to articlego to articlego to articlego to articlego to articlego to articlego to articlego to articlego to articlego to articlego to articlego to articlego to articlego to articlego to articlego to articlego to articlego to articlego to articlego to articlego to articlego to articlego to articlego to WikiPathwaysgo to articlego to Entrezgo to article
[[
]]
[[
]]
[[
]]
[[
]]
[[
]]
[[
]]
[[
]]
[[
]]
[[
]]
[[
]]
[[
]]
[[
]]
[[
]]
[[
]]
[[
]]
[[
]]
[[
]]
[[
]]
[[
]]
[[
]]
[[
]]
[[
]]
[[
]]
[[
]]
[[
]]
[[
]]
[[
]]
[[
]]
[[
]]
[[
]]
[[
]]
[[
]]
[[
]]
[[
]]
[[
]]
[[
]]
[[
]]
[[
]]
[[
]]
[[
]]
[[
]]
[[
]]
[[
]]
[[
]]
[[
]]
[[
]]
[[
]]
[[
]]
[[
]]
[[
]]
[[
]]
[[
]]
[[
]]
[[
]]
[[
]]
[[
]]
[[
]]
[[
]]
[[
]]
[[
]]
[[
]]
[[
]]
[[
]]
[[
]]
[[
]]
[[
]]
[[
]]
[[
]]
[[
]]
[[
]]
[[
]]
[[
]]
[[
]]
[[
]]
[[
]]
GlycolysisGluconeogenesis_WP534go to articlego to articlego to articlego to articlego to articlego to articlego to articlego to articlego to articlego to articlego to articlego to articlego to articlego to articlego to articlego to articlego to articlego to articlego to articlego to articlego to articlego to articlego to articlego to articlego to articlego to articlego to articlego to articlego to articlego to articlego to articlego to articlego to articlego to articlego to articlego to articlego to articlego to articlego to articlego to articlego to articlego to articlego to articlego to articlego to articlego to articlego to articlego to articlego to articlego to articlego to articlego to articlego to articlego to articlego to articlego to articlego to articlego to articlego to articlego to articlego to articlego to articlego to articlego to articlego to articlego to articlego to articlego to articlego to articlego to articlego to WikiPathwaysgo to articlego to Entrezgo to article
|alt=Glycolysis and Gluconeogenesis edit]]
Glycolysis and Gluconeogenesis edit
  1. ^ The interactive pathway map can be edited at WikiPathways: "GlycolysisGluconeogenesis_WP534".

Utility

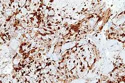
Neuron-specific enolase (NSE) immunostaining of a cerebellar hemangioblastoma.

Detection of NSE with antibodies can be used to identify neuronal cells and cells with neuroendocrine differentiation. NSE is produced by small-cell carcinomas, which are neuroendocrine in origin. NSE is therefore a useful tumor marker for distinguishing small-cell carcinomas from other tumors.[7]

References

  1. ^ a b c GRCh38: Ensembl release 89: ENSG00000111674Ensembl, May 2017
  2. ^ a b c GRCm38: Ensembl release 89: ENSMUSG00000004267Ensembl, May 2017
  3. ^ "Human PubMed Reference:". National Center for Biotechnology Information, U.S. National Library of Medicine.
  4. ^ "Mouse PubMed Reference:". National Center for Biotechnology Information, U.S. National Library of Medicine.
  5. ^ a b "ENO2 enolase 2 (gamma, neuronal)". NCBI Entrez Gene database.
  6. ^ Online Mendelian Inheritance in Man (OMIM): Enolase 2 - 131360
  7. ^ Clegg N, Ferguson C, True LD, Arnold H, Moorman A, Quinn JE, Vessella RL, Nelson PS (April 2003). "Molecular characterization of prostatic small-cell neuroendocrine carcinoma". Prostate. 55 (1): 55–64. doi:10.1002/pros.10217. PMID 12640661. S2CID 8778642.

Further reading

  • Overview of all the structural information available in the PDB for UniProt: P09104 (Human Gamma-enolase) at the PDBe-KB.