NK2 homeobox 1
NK2 homeobox 1 (NKX2-1), also known as thyroid transcription factor 1 (TTF-1), is a protein which in humans is encoded by the NKX2-1 gene.[5][6]
Function
Thyroid transcription factor-1 (TTF-1) is a protein that regulates transcription of genes specific for the thyroid, lung, and diencephalon. It is also known as thyroid specific enhancer binding protein. It is used in anatomic pathology as a marker to determine if a tumor arises from the lung or thyroid. NKX2.1 can be induced by activin A via SMAD2 signaling in a human embryonic stem cell differentiation model.[7]
NKX2.1 is key to the fetal development of lung structures. The dorsal-ventral pattern of NKX2.1 expression forms the ventral boundary in the anterior foregut. NKX2.1 is expressed only in select cells in the ventral wall of the anterior foregut, and is not expressed in the dorsal wall, where the esophagus will emerge from.
Knockout mice
NKX2.1 knockout in mice results in the development of a shortened trachea which is fused to the esophagus, with the bronchi directly connecting this shared tube to the lungs. This resembles a complete tracheoesophageal fistula, which is a rare congenital condition in humans. Distal lung structures do not develop in these knockout mice. Branching of the lungs in these mice did not occur past the main-stem bronchi, resulting in lungs that were smaller in size by about 50% compared to the wild-type mice. The epithelial lining of these distal structures did not show evidence of differentiation into specialized cells. This lining is composed of columnar epithelial cells and scattered ciliated epithelial cells.[8] The proximal epithelium of the lungs showed normal differentiation, indicating that proximal differentiation is independent of NKX2.1. NKX2.1 is initially expressed in the entire epithelium, but is suppressed in a proximal-distal pattern as the lung continues to develop.[9]
Clinical significance


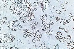
TTF-1 positive cells are found in the lung as type II pneumocytes and club cells. In the thyroid, follicular and parafollicular cells are also positive for TTF-1.
For lung cancers, adenocarcinomas are usually positive, while squamous cell carcinomas and large cell carcinomas are rarely positive. Small cell carcinomas (of any primary site) are usually positive. TTF1 is more than merely a clinical marker of lung adenocarcinoma. It plays an active role in sustaining lung cancer cells in view of the experimental observation that it is mutated in lung cancer.[11][12][13][14]
It has been observed that a loss of Nkx2-1 allows for deregulation of transcription factors FOXA1/2 (by relaxing histone deacetylation and methylation-mediated repression of Foxa1/2 by Nkx2-1) causing reactivation of an embryonic gastric differentiation program in pulmonary cells. This results in mucinous lung adenocarcinoma, a source of poor clinical outcomes for patients.[15]
However others have found that TTF-1 staining is often positive in pulmonary adenocarcinomas, large cell carcinomas, small-cell lung carcinomas, neuroendocrine tumors other than small-cell lung carcinomas and extrapulmonary small-cell carcinomas.[16]
It is also positive in thyroid cancers and is used for monitoring for metastasis and recurrence.[17]
Elevated TTF-1 expression is correlated with improved clinical outcomes in KRASG12C-mutated non-small-cell lung cancer (NSCLC) in response to sotorasib treatment.[18]
Interactions
NK2 homeobox 1 has been shown to interact with calreticulin[19] and PAX8.[20]
References
- ^ a b c GRCh38: Ensembl release 89: ENSG00000136352 – Ensembl, May 2017
- ^ a b c GRCm38: Ensembl release 89: ENSMUSG00000001496 – Ensembl, May 2017
- ^ "Human PubMed Reference:". National Center for Biotechnology Information, U.S. National Library of Medicine.
- ^ "Mouse PubMed Reference:". National Center for Biotechnology Information, U.S. National Library of Medicine.
- ^ "Entrez Gene: NKX2-1".
- ^ Guazzi S, Price M, De Felice M, Damante G, Mattei MG, Di Lauro R (November 1990). "Thyroid nuclear factor 1 (TTF-1) contains a homeodomain and displays a novel DNA binding specificity". The EMBO Journal. 9 (11): 3631–9. doi:10.1002/j.1460-2075.1990.tb07574.x. PMC 552115. PMID 1976511.
- ^ Li Y, Eggermont K, Vanslembrouck V, Verfaillie CM (May 2013). "NKX2-1 activation by SMAD2 signaling after definitive endoderm differentiation in human embryonic stem cell". Stem Cells and Development. 22 (9): 1433–42. doi:10.1089/scd.2012.0620. PMC 3629846. PMID 23259454.
- ^ Minoo P, Su G, Drum H, Bringas P, Kimura S (May 1999). "Defects in tracheoesophageal and lung morphogenesis in Nkx2.1(-/-) mouse embryos". Developmental Biology. 209 (1): 60–71. doi:10.1006/dbio.1999.9234. PMID 10208743.
- ^ Yuan B, Li C, Kimura S, Engelhardt RT, Smith BR, Minoo P (February 2000). "Inhibition of distal lung morphogenesis in Nkx2.1(-/-) embryos". Developmental Dynamics. 217 (2): 180–90. doi:10.1002/(SICI)1097-0177(200002)217:2<180::AID-DVDY5>3.0.CO;2-3. PMID 10706142.
- ^ Image by Mikael Häggström, MD. Source for significance: Bejarano PA, Mousavi F (2003). "Incidence and significance of cytoplasmic thyroid transcription factor-1 immunoreactivity". Arch Pathol Lab Med. 127 (2): 193–5. doi:10.5858/2003-127-193-IASOCT. PMID 12562233.
- ^ Kendall J, Liu Q, Bakleh A, Krasnitz A, Nguyen KC, Lakshmi B, et al. (October 2007). "Oncogenic cooperation and coamplification of developmental transcription factor genes in lung cancer". Proceedings of the National Academy of Sciences of the United States of America. 104 (42): 16663–8. Bibcode:2007PNAS..10416663K. doi:10.1073/pnas.0708286104. PMC 2034240. PMID 17925434.
- ^ Tanaka H, Yanagisawa K, Shinjo K, Taguchi A, Maeno K, Tomida S, et al. (July 2007). "Lineage-specific dependency of lung adenocarcinomas on the lung development regulator TTF-1". Cancer Research. 67 (13): 6007–11. doi:10.1158/0008-5472.CAN-06-4774. PMID 17616654.
- ^ Weir BA, Woo MS, Getz G, Perner S, Ding L, Beroukhim R, et al. (December 2007). "Characterizing the cancer genome in lung adenocarcinoma". Nature. 450 (7171): 893–8. Bibcode:2007Natur.450..893W. doi:10.1038/nature06358. PMC 2538683. PMID 17982442.
- ^ Kwei KA, Kim YH, Girard L, Kao J, Pacyna-Gengelbach M, Salari K, et al. (June 2008). "Genomic profiling identifies TITF1 as a lineage-specific oncogene amplified in lung cancer". Oncogene. 27 (25): 3635–40. doi:10.1038/sj.onc.1211012. PMC 2903002. PMID 18212743.
- ^ Snyder EL, Watanabe H, Magendantz M, Hoersch S, Chen TA, Wang DG, et al. (April 2013). "Nkx2-1 represses a latent gastric differentiation program in lung adenocarcinoma". Molecular Cell. 50 (2): 185–99. doi:10.1016/j.molcel.2013.02.018. PMC 3721642. PMID 23523371.
- ^ Kalhor N, Zander DS, Liu J (August 2006). "TTF-1 and p63 for distinguishing pulmonary small-cell carcinoma from poorly differentiated squamous cell carcinoma in previously pap-stained cytologic material". Modern Pathology. 19 (8): 1117–23. doi:10.1038/modpathol.3800629. PMID 16680154.
- ^ Espinoza CR, Schmitt TL, Loos U (August 2001). "Thyroid transcription factor 1 and Pax8 synergistically activate the promoter of the human thyroglobulin gene". Journal of Molecular Endocrinology. 27 (1): 59–67. doi:10.1677/jme.0.0270059. PMID 11463576.
- ^ Li BT, de Langen AJ, Hong DS, Lena H, Wolf J, Dy GK, Curioni Fontecedro A, Tomasini P, Velcheti V, van der Wekken AJ, Dooms C, Paz-Ares Rodriguez L, Mountzios G, Sacher A, Skoulidis F (2025-05-28). "Molecular determinants of sotorasib clinical efficacy in KRASG12C-mutated non-small-cell lung cancer". Nature Medicine: 1–13. doi:10.1038/s41591-025-03732-5. ISSN 1546-170X. PMID 40437272.
- ^ Perrone L, Tell G, Di Lauro R (February 1999). "Calreticulin enhances the transcriptional activity of thyroid transcription factor-1 by binding to its homeodomain". The Journal of Biological Chemistry. 274 (8): 4640–5. doi:10.1074/jbc.274.8.4640. PMID 9988700.
- ^ Di Palma T, Nitsch R, Mascia A, Nitsch L, Di Lauro R, Zannini M (January 2003). "The paired domain-containing factor Pax8 and the homeodomain-containing factor TTF-1 directly interact and synergistically activate transcription". The Journal of Biological Chemistry. 278 (5): 3395–402. doi:10.1074/jbc.M205977200. PMID 12441357.
Further reading
- Lau SK, Luthringer DJ, Eisen RN (June 2002). "Thyroid transcription factor-1: a review". Applied Immunohistochemistry & Molecular Morphology. 10 (2): 97–102. doi:10.1097/00022744-200206000-00001. PMID 12051643.
- Guazzi S, Price M, De Felice M, Damante G, Mattei MG, Di Lauro R (November 1990). "Thyroid nuclear factor 1 (TTF-1) contains a homeodomain and displays a novel DNA binding specificity". The EMBO Journal. 9 (11): 3631–9. doi:10.1002/j.1460-2075.1990.tb07574.x. PMC 552115. PMID 1976511.
- Oguchi H, Pan YT, Kimura S (April 1995). "The complete nucleotide sequence of the mouse thyroid-specific enhancer-binding protein (T/EBP) gene: extensive identity of the deduced amino acid sequence with the human protein". Biochimica et Biophysica Acta (BBA) - Gene Structure and Expression. 1261 (2): 304–6. doi:10.1016/0167-4781(95)00033-D. PMID 7711079.
- Saiardi A, Tassi V, De Filippis V, Civitareale D (April 1995). "Cloning and sequence analysis of human thyroid transcription factor 1". Biochimica et Biophysica Acta (BBA) - Gene Structure and Expression. 1261 (2): 307–10. doi:10.1016/0167-4781(95)00034-E. PMID 7711080.
- Ikeda K, Clark JC, Shaw-White JR, Stahlman MT, Boutell CJ, Whitsett JA (April 1995). "Gene structure and expression of human thyroid transcription factor-1 in respiratory epithelial cells". The Journal of Biological Chemistry. 270 (14): 8108–14. doi:10.1074/jbc.270.44.26460. PMID 7713914.
- Bonaldo MF, Lennon G, Soares MB (September 1996). "Normalization and subtraction: two approaches to facilitate gene discovery". Genome Research. 6 (9): 791–806. doi:10.1101/gr.6.9.791. PMID 8889548.
- Ghaffari M, Zeng X, Whitsett JA, Yan C (December 1997). "Nuclear localization domain of thyroid transcription factor-1 in respiratory epithelial cells". The Biochemical Journal. 328 ( Pt 3) (3): 757–61. doi:10.1042/bj3280757. PMC 1218983. PMID 9396717.
- Hamdan H, Liu H, Li C, Jones C, Lee M, deLemos R, Minoo P (March 1998). "Structure of the human Nkx2.1 gene". Biochimica et Biophysica Acta (BBA) - Gene Structure and Expression. 1396 (3): 336–48. doi:10.1016/S0167-4781(97)00210-8. PMID 9545595.
- Perrone L, Tell G, Di Lauro R (February 1999). "Calreticulin enhances the transcriptional activity of thyroid transcription factor-1 by binding to its homeodomain". The Journal of Biological Chemistry. 274 (8): 4640–5. doi:10.1074/jbc.274.8.4640. PMID 9988700.
- Naltner A, Ghaffari M, Whitsett JA, Yan C (January 2000). "Retinoic acid stimulation of the human surfactant protein B promoter is thyroid transcription factor 1 site-dependent". The Journal of Biological Chemistry. 275 (1): 56–62. doi:10.1074/jbc.275.1.56. PMID 10617585.
- Missero C, Pirro MT, Di Lauro R (April 2000). "Multiple ras downstream pathways mediate functional repression of the homeobox gene product TTF-1". Molecular and Cellular Biology. 20 (8): 2783–93. doi:10.1128/MCB.20.8.2783-2793.2000. PMC 85494. PMID 10733581.
- Naltner A, Wert S, Whitsett JA, Yan C (December 2000). "Temporal/spatial expression of nuclear receptor coactivators in the mouse lung". American Journal of Physiology. Lung Cellular and Molecular Physiology. 279 (6): L1066-74. doi:10.1152/ajplung.2000.279.6.l1066. PMID 11076796. S2CID 27872061.
- Yan C, Naltner A, Conkright J, Ghaffari M (June 2001). "Protein-protein interaction of retinoic acid receptor alpha and thyroid transcription factor-1 in respiratory epithelial cells". The Journal of Biological Chemistry. 276 (24): 21686–91. doi:10.1074/jbc.M011378200. PMID 11274148.
- Missero C, Pirro MT, Simeone S, Pischetola M, Di Lauro R (September 2001). "The DNA glycosylase T:G mismatch-specific thymine DNA glycosylase represses thyroid transcription factor-1-activated transcription". The Journal of Biological Chemistry. 276 (36): 33569–75. doi:10.1074/jbc.M104963200. PMID 11438542.
- Yi M, Tong GX, Murry B, Mendelson CR (January 2002). "Role of CBP/p300 and SRC-1 in transcriptional regulation of the pulmonary surfactant protein-A (SP-A) gene by thyroid transcription factor-1 (TTF-1)". The Journal of Biological Chemistry. 277 (4): 2997–3005. doi:10.1074/jbc.M109793200. PMID 11713256.
- Liu C, Glasser SW, Wan H, Whitsett JA (February 2002). "GATA-6 and thyroid transcription factor-1 directly interact and regulate surfactant protein-C gene expression". The Journal of Biological Chemistry. 277 (6): 4519–25. doi:10.1074/jbc.M107585200. PMID 11733512.
- Ng WK, Chow JC, Ng PK (February 2002). "Thyroid transcription factor-1 is highly sensitive and specific in differentiating metastatic pulmonary from extrapulmonary adenocarcinoma in effusion fluid cytology specimens". Cancer. 96 (1): 43–8. doi:10.1002/cncr.10310. PMID 11836702. S2CID 23626036.
- Pohlenz J, Dumitrescu A, Zundel D, Martiné U, Schönberger W, Koo E, et al. (February 2002). "Partial deficiency of thyroid transcription factor 1 produces predominantly neurological defects in humans and mice". The Journal of Clinical Investigation. 109 (4): 469–73. doi:10.1172/JCI14192. PMC 150877. PMID 11854318.
- Krude H, Schütz B, Biebermann H, von Moers A, Schnabel D, Neitzel H, et al. (February 2002). "Choreoathetosis, hypothyroidism, and pulmonary alterations due to human NKX2-1 haploinsufficiency". The Journal of Clinical Investigation. 109 (4): 475–80. doi:10.1172/JCI14341. PMC 150790. PMID 11854319.
- Miccadei S, De Leo R, Zammarchi E, Natali PG, Civitareale D (April 2002). "The synergistic activity of thyroid transcription factor 1 and Pax 8 relies on the promoter/enhancer interplay". Molecular Endocrinology. 16 (4): 837–46. doi:10.1210/mend.16.4.0808. PMID 11923479.
External links
- TITF1+protein,+human at the U.S. National Library of Medicine Medical Subject Headings (MeSH)
This article incorporates text from the United States National Library of Medicine, which is in the public domain.









