Piroplasmida
| Piroplasmida | |
|---|---|
| |
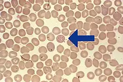
| Babesia sp. | |
| Scientific classification | |
| Domain: | Eukaryota |
| Clade: | Sar |
| Clade: | Alveolata |
| Phylum: | Apicomplexa |
| Class: | Aconoidasida |
| Order: | |
| Families and genera | |
| Piroplasmida phylogeny (mtDNA)[2] | |||||||||||||||
|
Piroplasmida is an order of parasites in the phylum Apicomplexa.[3][4] They divide by binary fission and as sporozoan parasites they possess sexual and asexual phases (sexual reproduction occurs in the tick gut[5]). They include the tick parasites Babesia and Theileria.[6][7]
Description
They are minute rounded or pyriform parasites found within erythrocytes, or other circulating or endothelial cells of vertebrates, where they reproduce by merogony. The trophozoite stage is separated from erythrocyte by a single membrane. This distinguishes them from other blood parasites that usually have at least two membranes.
An apical complex with a polar ring and rhopteries occurs, but without a conoid and usually without associated pellicular microtubules. They lack flagella and do not form either oocysts or spores.
The known vectors are ticks or leeches in which they undergo sporogony; sexual reproduction probably occurs in the vector.
See also
References
- ^ Manwell RD (1964). "The Genus Dactylosoma". The Journal of Protozoology. 11 (4): 526–530. doi:10.1111/j.1550-7408.1964.tb01792.x. PMID 14231179.
- ^ Schreeg, ME; Marr, HS; Tarigo, JL; Cohn, LA; Bird, DM; Scholl, EH; Levy, MG; Wiegmann, BM; Birkenheuer, AJ (2016). "Mitochondrial Genome Sequences and Structures Aid in the Resolution of Piroplasmida phylogeny". PLOS ONE. 11 (11): e0165702. Bibcode:2016PLoSO..1165702S. doi:10.1371/journal.pone.0165702. PMC 5104439. PMID 27832128.
- ^ "Definition: piroplasmida from Online Medical Dictionary". ncl.ac.uk. Retrieved 1 January 2019.
- ^ "PIROPLASMIDA; Page 1 of the families of the order; Piroplasmida". British Towns and Villages. Retrieved 1 January 2019.
- ^ Rudzinska MA, Spielman A, Lewengrub S, Trager W, Piesman J (May 1983). "Sexuality in piroplasms as revealed by electron microscopy in Babesia microti". Proc. Natl. Acad. Sci. U.S.A. 80 (10): 2966–70. Bibcode:1983PNAS...80.2966R. doi:10.1073/pnas.80.10.2966. PMC 393954. PMID 6574467.
- ^ "Definition: Theileriidae from Online Medical Dictionary". ncl.ac.uk. Retrieved 1 January 2019.
- ^ "Theleriosis: The causal organism and life cycle". animaldiseases.org. Archived from the original on 18 November 2007. Retrieved 1 January 2019.
