Papillary tumor


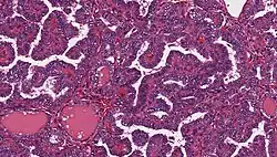
A papillary tumor is a tumor shaped like a small mushroom, with its stem attached to the epithelial layer (inner lining) of an organ.[1][2] It consists of papillae, which are outgrowths that consist of stroma with at least one central blood vessel, surrounded by epithelium. Usually, the epithelium constitutes the true tumor cells, and the fibrovascular cores (stroma and blood vessels) consist of reactive supportive tissue.
References
- ^ Hayat, M. A. (2012). Tumors of the Central Nervous System, Volume 10: Pineal, Pituitary, and Spinal Tumors. Springer Science & Business Media. p. 51. ISBN 9789400756816. Retrieved 19 December 2017.
- ^ Teeley, Peter; Bashe, Philip (2005). The Complete Cancer Survival Guide: The Most Comprehensive, Up-to-date Guide for Patients and Their Families; with Advice from Dozens of Leading Cancer Specialists at More Than 30 Major Cancer Centers. Broadway Books. p. 65. ISBN 9780767919890. Retrieved 19 December 2017. Papillary tumor mushroom. 
External links
- Papillary tumor entry in the public domain NCI Dictionary of Cancer Terms
 This article incorporates public domain material from Dictionary of Cancer Terms. U.S. National Cancer Institute.
 This article incorporates public domain material from Dictionary of Cancer Terms. U.S. National Cancer Institute.