Malignant acrospiroma
| Malignant acrospiroma | |
|---|---|
| Other names | Nodular hidradenocarcinoma, malignant nodular clear-cell hidradenoma, mucoepidermoid hidradenocarcinoma, clear-cell hidradenocarcinoma, malignant clear-cell acrospiroma, and clear-cell eccrine carcinoma.[1] |
| Specialty | Oncology |
Malignant acrospiroma, also known as nodular hidradenocarcinoma, malignant nodular clear-cell hidradenoma, mucoepidermoid hidradenocarcinoma, clear-cell hidradenocarcinoma, malignant clear-cell acrospiroma, and clear-cell eccrine carcinoma,[1] is a rare and aggressive tumour of the eccrine sweat glands.[2] It was first documented by Keasbey and Hadley in 1954.[3]
Lesions manifest as slow growing 0.5 to 10 cm nodules that may drain or ulcerate. Malignant acrospiroma can develop de novo or from a pre-existing benign lesion.
The diagnosis of malignant acrospiroma is primarily based on histological, immunohistochemical, or ultrastructural characteristics. The differential diagnosis includes trichilemmal carcinoma, sebaceous carcinoma, clear cell changes in squamous cell carcinoma, basal cell carcinoma, balloon cell melanoma, porocarcinoma, and metastatic renal clear cell carcinoma.
Malignant acrospiroma is treated with wide surgical excision. It has a 50% chance of recurrence and 60% chance of metastasis in the first 2 years.
Malignant acrospiroma usually presents around the age of 50 and has no strong gender preference. Malignant acrospiromas account for around 6% of all malignant eccrine tumors.
Signs and symptoms
Usually, lesions appear as slow-growing nodules that have the potential to drain and ulcerate. Their sizes vary from 0.5 to 10 cm.[4][5] Typically, they affect the head, neck, and limbs;[2] the breasts and chest are less frequently affected.[6][7]
Causes
Malignant acrospiromas can develop spontaneously or evolve from a preexisting benign lesion.[2]
Diagnosis
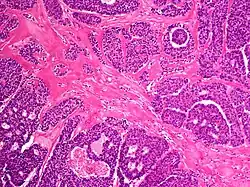
The diagnosis of malignant acrospiroma is primarily based on histological, immunohistochemical, or ultrastructural characteristics.[1]
Histological traits include a pronounced nodular (lobular) pattern. Normally, there is no link between the epidermis and the tumour, but the superficial epithelium may become ulcerated.[1] The tumour may have enhanced mitotic activity and localized regions of necrosis.[8][9]
The differential diagnosis for malignant acrospiroma includes additional cancers with clear cell changes, such as trichilemmal carcinoma, sebaceous carcinoma, clear cell changes in squamous cell carcinoma, basal cell carcinoma, balloon cell melanoma, porocarcinoma, and metastatic renal clear cell carcinoma.[1]
Treatment
The primary therapeutic method is wide surgical excision.[10] Because of the aggressive nature and proclivity for lymphatic invasion, several authors suggest prophylactic lymph node dissection.[11] Adjuvant chemotherapy's effectiveness is not well established.[12][13]
Outlook
Within the first two years, the tumour has a 50% chance of local recurrence and a 60% chance of metastatic spread. Disease-free 5-year survival rates have been reported to be less than 30%.[14]
Epidemiology
Malignant acrospiromas account for around 6% of all malignant eccrine tumours.[15] The disease typically appears in middle ages.[16] There does not appear to be a clear gender preponderance, despite some reports suggesting that malignant acrospiromas are more common in women.[4]
See also
References
- ^ a b c d e Pandey, Pinki; Dixit, Alok; Chandra, Subrat; Tanwar, Aparna (2015). "Cytological features of malignant eccrine acrospiroma presenting as a soft tissue mass axilla: A rare sweat gland tumor with histologic correlation". International Journal of Applied and Basic Medical Research. 5 (2). Medknow: 145–148. doi:10.4103/2229-516x.157173. ISSN 2229-516X. PMC 4456892. PMID 26097826.
- ^ a b c Diab, Maria; Gabali, Ali; Kittaneh, Muaiad (2017-03-27). "Malignant acrospiroma: a case report in the era of next generation sequencing". BMC Cancer. 17 (1). Springer Science and Business Media LLC: 221. doi:10.1186/s12885-017-3217-5. ISSN 1471-2407. PMC 5368941. PMID 28347286.
- ^ Le, Keasbey (1954). "Clearcell hidradenoma; report of three cases with widespread metastases". Cancer. 7 (5): 934–952. doi:10.1002/1097-0142(195409)7:5<934::aid-cncr2820070519>3.0.co;2-5. ISSN 0008-543X. PMID 13199772.
- ^ a b Kauderer, C; Clarke, HD; Fatone, CT (1995). "Malignant eccrine acrospiroma. A case study". Journal of the American Podiatric Medical Association. 85 (2). American Podiatric Medical Association: 116–117. doi:10.7547/87507315-85-2-116. ISSN 8750-7315. PMID 7877107.
- ^ Ogilvie, J W (June 1982). "Malignant eccrine acrospiroma. A case report". The Journal of Bone and Joint Surgery. American Volume. 64 (5): 780–782. PMID 6282887.
- ^ Long, William P.; Dupin, Charles; Levine, Edward A. (1998). "Recurrent Malignant Acrospiroma: Treatment by Chest Wall Excision". Dermatologic Surgery. 24 (8): 908–912. doi:10.1111/j.1524-4725.1998.tb04273.x. ISSN 1076-0512. PMID 9723060.
- ^ CYRLAK, DVORA; BARR, RONALD J.; WILE, ALAN G. (1995). "Malignant Eccrine Acrospiroma of the Breast". International Journal of Dermatology. 34 (4). Wiley: 271–273. doi:10.1111/j.1365-4362.1995.tb01595.x. ISSN 0011-9059. PMID 7790144.
- ^ Amel, Trabelsi; Olfa, Gharbi; Faten, Hammedi; Makrem, Hochlef; Slim, Ben Ahmed; Moncef, Mokni (2024-03-14). "Metastatic hidradenocarcinoma: Surgery and chemotherapy". North American Journal of Medical Sciences. 1 (7). Wolters Kluwer -- Medknow Publications. PMC 3364684. PMID 22666726.
- ^ Ko, Christine J.; Cochran, Alistair J.; Eng, William; Binder, Scott W. (2006). "Hidradenocarcinoma: a histological and immunohistochemical study*". Journal of Cutaneous Pathology. 33 (11). Wiley: 726–730. doi:10.1111/j.1600-0560.2006.00536.x. ISSN 0303-6987. PMID 17083691.
- ^ Andreoli, Michael T.; Itani, Kamal M.F. (2011). "Malignant eccrine spiradenoma: a meta-analysis of reported cases". The American Journal of Surgery. 201 (5). Elsevier BV: 695–699. doi:10.1016/j.amjsurg.2010.04.015. ISSN 0002-9610. PMID 20851376.
- ^ EL-DOMEIRI, ALI A.; BRASFIELD, RICHARD D.; HUVOS, ANDREW G.; STRONG, ELLIOT W. (1971). "Sweat Gland Carcinoma". Annals of Surgery. 173 (2). Ovid Technologies (Wolters Kluwer Health): 270–274. doi:10.1097/00000658-197102000-00014. ISSN 0003-4932. PMC 1397621. PMID 5100098.
- ^ KERSTING, DAVID W. (1963-03-01). "Clear Cell Hidradenoma and Hidradenocarcinoma". Archives of Dermatology. 87 (3). American Medical Association (AMA): 323–333. doi:10.1001/archderm.1963.01590150039007. ISSN 0003-987X. PMID 14032110.
- ^ Lopez-Burbano, Luis F.; Cimorra, Gustavo A.; Gonzalez-Peirona, Elias; Alfaro, Jorge (1987). "Malignant Clear-Cell Hidradenoma". Plastic and Reconstructive Surgery. 80 (2). Ovid Technologies (Wolters Kluwer Health): 300–303. doi:10.1097/00006534-198708000-00027. ISSN 0032-1052. PMID 3037576.
- ^ Ohta, Masayoshi; Hiramoto, Michiaki; Fujii, Miki; Togo, Takeshi (2004). "Nodular Hidradenocarcinoma on the Scalp of a Young Woman: Case Report and Review of Literature". Dermatologic Surgery. 30 (9). Ovid Technologies (Wolters Kluwer Health): 1265–1268. doi:10.1111/j.1524-4725.2004.30390.x. ISSN 1076-0512. PMID 15355375.
- ^ Mehregan, Amir H. (1983-02-01). "Eccrine Adenocarcinoma". Archives of Dermatology. 119 (2). American Medical Association (AMA): 104. doi:10.1001/archderm.1983.01650260012008. ISSN 0003-987X.
- ^ Görtler, I; Köppl, H; Stark, G.B; Horch, R.E (2001). "Metastatic malignant acrospiroma of the hand". European Journal of Surgical Oncology. 27 (4). Elsevier BV: 431–435. doi:10.1053/ejso.2000.1067. ISSN 0748-7983. PMID 11417993.
Further reading
- Tingaud, Claire; Costes, Valérie; Frouin, Eric; Delfour, Christophe; Cribier, Bernard; Guillot, Bernard; Szablewski, Vanessa (2016-05-17). "Lymph node location of a clear cell hidradenoma: report of a patient and review of literature". Journal of Cutaneous Pathology. 43 (8). Wiley: 702–706. doi:10.1111/cup.12720. ISSN 0303-6987. PMID 27080562.
- Bandyopadhyay, Anis; Das, Mou; Jana, Sukumar; Das, Anuradha (2013). "Malignant acrospiroma of chest and abdominal wall treated with chemotherapy". Indian Journal of Dermatology. 58 (3). Medknow: 241. doi:10.4103/0019-5154.110849. ISSN 0019-5154. PMC 3667303. PMID 23723491.