Left ventricular thrombus
| Left ventricular thrombus | |
|---|---|
| Blood clots in the ventricle found on autopsy |
Left ventricular thrombus is a blood clot (thrombus) in the left ventricle of the heart. LVT is a common complication of acute myocardial infarction (AMI).[1][2] Typically the clot is a mural thrombus, meaning it is on the wall of the ventricle.[3] The primary risk of LVT is the occurrence of cardiac embolism,[1][4] in which the thrombus detaches from the ventricular wall and travels through the circulation and blocks blood vessels. Blockage can be especially damaging in the heart or brain (stroke).[1][5]
Pathophysiology
LVT occurs most often during the first 2 weeks following AMI.[1] AMI patients most at risk display the 3 characteristics of Virchow's triad:[1]
Stagnation of blood
The risk of LVT formation increases as infarction size increases.[5] A larger infarction means a larger area of tissue injury, which may be akinetic or dyskinetic, resulting in stagnation of ventricular blood.[1]
Endothelial injury
Monocytes and macrophages play important roles in healing after myocardial infarction. With the absence of monocytes and macrophages, chances of LVT formation are very high. Failure to clear cellular debris from the infarct compromises the endothelial lining of the left ventricle and exposes the damaged tissue to the blood.[6] The response is to build a thrombus composed of fibrin, red blood cells and platelets.[1]
Hypercoagulable state
For several days after AMI, the levels of tissue factor and D-dimer, which are involved in coagulation, are high, which increases the risk of LVT formation.[7] LVT may be good for the heart when tissues are severely damaged because it acts to thicken the wall, thus protecting it against rupture.[1]
Diagnosis
Echocardiography is the main diagnostic tool for LVT. A distinct mass is visible in the left ventricle. Computed Tomography and Magnetic Resonance Imaging are effective, but less common ways to detect LVT, due to their costs and risks.[1] It is possible to assess whether a thrombus will become an embolus through echocardiography. Mobility and protrusion of the thrombus are two characteristics associated with increased embolic potential.[8]
-
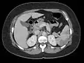
Thrombus of the left ventricle resulting in embolism of the spleen[9]
-
Thrombus of the left ventricle resulting in embolism of the spleen[9]
-
Thrombus of the left ventricle resulting in embolism of the spleen[9]
-
Thrombus of the left ventricle resulting in embolism of the spleen[9]
Prevention
After an AMI, people should be treated to prevent LVT formation. Aspirin plus an oral anticoagulant such as warfarin are suggested for individuals at risk for thromboembolic events.[10] Anticoagulants are also shown to reduce the risk of embolisms[1][4] when a thrombus is already formed. Heparin, an injectable, fast-acting anticoagulant, is effective in high doses for preventing LVT formation after AMI.[1][11]
Treatment
Systemic anticoagulation is considered first-line medical therapy for LVT, as it reduces the risk of systemic embolism.[12][10] There are also surgical procedures for removal of a thrombus (thrombectomy).
Epidemiology
The rate of LVT formation after AMI is thought to be declining[13][14] due to the use of better therapies and percutaneous coronary intervention used to treat myocardial infarction.[1][5][7][15] In the modern era LVT formation after ST elevation MI treated with percutaneous coronary intervention is low, estimated at only 2.7%.[16] However, incidence of LVT is considered higher in anterior wall AMI, compared with other types.[17]
References
- ^ a b c d e f g h i j k l Delewi R.; Zijlstra F.; Piek J.J (2012). "Left Ventricular Thrombus Formation after Acute Myocardial Infarction". Heart. 98 (23): 1743–1749. doi:10.1136/heartjnl-2012-301962. PMC 3505867. PMID 23151669.
- ^ Visser C. A.; Kan G.; David G. K.; Lie K. I.; Durrer D. (1983). "Two dimensional echocardiography in the diagnosis of left ventricular thrombus. A prospective study of 67 patients with anatomic validation". Chest. 83 (2): 228–232. doi:10.1378/chest.83.2.228. PMID 6822107.
- ^ Reeder G. S.; Tajik A. J.; Seward J. B. (1981). "Left ventricular mural thrombus: Two-dimensional echocardiographic diagnosis". Mayo Clinic Proceedings. 56 (2): 82–86. PMID 7464235.
- ^ a b Vaitkus PT, Barnathan ES (1994). "Embolic potential, prevention and management of mural thrombus complicating anterior myocardial infarction: a meta-analysis". J Am Coll Cardiol. 22 (4): 1004–9. doi:10.1016/0735-1097(93)90409-t. PMID 8409034.
- ^ a b c Solheim S.; Seljeflot I.; Lunde K.; Bjørnerheim R.; Aakhus S.; Forfang K.; Arnesen H. (2010). "Frequency of left ventricular thrombus in patients with anterior wall acute myocardial infarction treated with percutaneous coronary intervention and dual antiplatelet therapy". The American Journal of Cardiology. 106 (9): 1197–1200. doi:10.1016/j.amjcard.2010.06.043. PMID 21029812.
- ^ Frantz, S., Hofmann, U., Fraccarollo, D., Schäfer, A., Kranepuhl, S., Hagedorn, I., Nieswandt, B., Nahrendorf, M., Wagner, H., Bayer, B., Pachel, C., Schon, M., Kneitz, S., Bobinger, T., Weidemann, F., Ertl, G., Bauersachs, J. (2012). Monocytes/ macrophages prevent healing defects and left ventricular thrombus formation after myocardial infarction. The FASEB Journal.
- ^ a b Solheim S.; Seljeflot I.; Lunde K.; Bratseth V.; Aakhus S.; Forfang K.; Arnesen H. (2013). "Prothrombotic markers in patients with acute myocardial infarction and left ventricular thrombus formation treated with pci and dual antiplatelet therapy". Thrombosis Journal. 11 (1): 1–6. doi:10.1186/1477-9560-11-1. PMC 3554510. PMID 23311309.
- ^ Haugland JM, Asinger RW, Mikell FL, Elsperger J, Hodges M (1984). "Embolic potential of left ventricular thrombi detected by two-dimensional echocardiography". Circulation. 70 (4): 588–598. doi:10.1161/01.cir.70.4.588. PMID 6478564.
- ^ a b c d "UOTW #24 - Ultrasound of the Week". Ultrasound of the Week. 6 November 2014. Retrieved 27 May 2017.
- ^ a b Van de Werf F., Staff E. S. C. (2008). "ESC Guidelines on the Management of Acute Myocardial Infarction in Patients Presenting with STEMI". European Heart Journal. 29 (23): 2909–2945. doi:10.1093/eurheartj/ehn416. PMID 19004841.
- ^ Turpie A. G.; Robinson J. G.; Doyle D. J.; Mulji A. S.; Mishkel G. J.; Sealey B. J.; Cairns J.A.; Skingley L.; Hirsh J.; Gent M. (1989). "Comparison of high-dose with low-dose subcutaneous heparin to prevent left ventricular mural thrombosis in patients with acute transmural anterior myocardial infarction". The New England Journal of Medicine. 320 (6): 352–357. doi:10.1056/nejm198902093200604. PMID 2643772.
- ^ Vaitkus, P. T.; Barnathan, E. S. (October 1993). "Embolic potential, prevention and management of mural thrombus complicating anterior myocardial infarction: a meta-analysis". Journal of the American College of Cardiology. 22 (4): 1004–1009. doi:10.1016/0735-1097(93)90409-t. ISSN 0735-1097. PMID 8409034.
- ^ Asinger R. W.; Mikell F. L.; Elsperger J.; Hodges M. (1981). "Incidence of left- ventricular thrombosis after acute transmural myocardial infarction. Serial evaluation by two-dimensional echocardiography". The New England Journal of Medicine. 305 (6): 297–302. doi:10.1056/nejm198108063050601. PMID 7242633.
- ^ Stokman P. J.; Nandra C. S.; Asinger R. W. (2001). "Left ventricular thrombus". Current Treatment Options in Cardiovascular Medicine. 3 (6): 515–521. doi:10.1007/s11936-001-0025-6. PMID 11696271. S2CID 3734965.
- ^ Osherov A. B.; Borovik-Raz M.; Aronson D.; Agmon Y.; Kapeliovich M.; Kerner A.; Grenadier E.; Hammerman H.; Nikolsky E.; Roguin A. (2009). "Incidence of early left ventricular thrombus after acute anterior wall myocardial infarction in the primary coronary intervention era". American Heart Journal. 157 (6): 1074–1080. doi:10.1016/j.ahj.2009.03.020. PMID 19464419.
- ^ Robinson, Austin A.; Jain, Amit; Gentry, Mark; McNamara, Robert L. (2016-10-15). "Left ventricular thrombi after STEMI in the primary PCI era: A systematic review and meta-analysis". International Journal of Cardiology. 221: 554–559. doi:10.1016/j.ijcard.2016.07.069. ISSN 1874-1754. PMID 27424314.
- ^ Zielinska M.; Kaczmarek K.; Tylkowski M. (2008). "Predictors of left ventricular thrombus formation in acute myocardial infarction treated with successful primary angioplasty with stenting". Am J Med Sci. 335 (3): 171–176. doi:10.1097/maj.0b013e318142be20. PMID 18344689. S2CID 23786142.