Intravascular papillary endothelial hyperplasia
| Intravascular papillary endothelial hyperplasia | |
|---|---|
| Other names | Masson's hemangio-endotheliome vegetant intravasculaire, Masson's lesion, Masson's pseudoangiosarcoma, Masson's tumor, and papillary endothelial hyperplasia[1] |
![]() | |
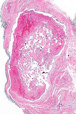
| Micrograph of intravascular papillary endothelial hyperplasia. H&E stain. | |
| Specialty | Oncology, rheumatology |
Intravascular papillary endothelial hyperplasia (IPEH), also known as Masson's hemangio-endotheliome vegetant intravasculaire, Masson's lesion, Masson's pseudoangiosarcoma, Masson's tumor, and papillary endothelial hyperplasia, is a rare, benign tumor. It may mimic an angiosarcoma, with lesions that are red or purplish 5-mm to 5-cm papules and deep nodules on the head, neck, or upper extremities.[1][2]: 592
The cause of intravascular papillary endothelial hyperplasia is unknown. Risk factors include a history of local trauma or prior vascular disorders.
Immunohistochemistry and histopathology are used to make the diagnosis of intravascular papillary endothelial hyperplasia. Differential diagnosis includes vascular malformation, angioma, pyogenic granuloma, angiosarcoma, epithelioid hemangioendothelioma, Kaposi’s sarcoma, and other more rare vascular tumors.
Three forms of intravascular papillary endothelial hyperplasia exist: the primary or pure form, the secondary or mixed form, and the extravascular form.
The treatment for intravascular papillary endothelial hyperplasia is complete surgical resection.
Signs and symptoms
Intravascular papillary endothelial hyperplasia typically manifest as deep nodules or well-defined, round, red, or purple superficial papules. They are usually tiny, ranging in size from 0.5 to 5 cm.[3] IPEH lesions are most common in the digits and among blood arteries throughout the body, although they can also form in the head, neck, and body.[4][5] Atypical IPEH lesions have occasionally been seen in cerebral aneurysms or the abdominal organs.[6][7]
Causes
Although there are numerous possibilities, the pathophysiology and causation of intravascular papillary endothelial hyperplasia remain unknown.[8] A history of local trauma or prior vascular disorders (such as hemangiomas, blood stasis, etc.) are risk factors.[9] It will usually be idiopathic.[8]
Diagnosis
Immunohistochemistry staining in addition to a thorough histomorphological evaluation are necessary for a correct diagnosis.[10] A crucial tool for diagnosing it is microscopy. IPEH is made up of an intravascular proliferation of many papillae with an endothelial surface and a connective tissue core.[11] It differs from other neoplastic lesions in that it is often encapsulated or well-circumscribed, displaying distinctive papillary fronds, and the vascular wall completely restricts the proliferative process.[12]
Only in cases when the endothelium origin of the lesion is in doubt may immunohistochemical confirmation be necessary. In these situations, endothelial cell markers that would highlight the endothelium lining around the papillary tufts, such as von Willebrand factor, CD31, factor XIIIa, and CD43, may be employed.[10]
The differential diagnosis includes vascular malformation, angioma, pyogenic granuloma, angiosarcoma, epithelioid hemangioendothelioma, Kaposi’s sarcoma, and other more rare vascular tumors.[3]
Classification
Three forms of intravascular papillary endothelial hyperplasia exist: the primary or pure form, the secondary or mixed form, and the extravascular form.[3]
The most prevalent variety, known as the primary or pure form, develops in subcutaneous soft tissue and usually arises in a dilated channel, most commonly a vein rather than an artery.[13] Preexisting vascular anomalies are found in the secondary/mixed presentation.[9] Lastly, the least frequent form of hematomas is the extravascular variety.[5]
Treatment
Complete surgical resection is the course of treatment.[3] Wide margins of excision are not indicated, although partial resection can lead to recurrence.[14]
See also
References
- ^ a b Rapini, Ronald P.; Bolognia, Jean L.; Jorizzo, Joseph L. (2007). Dermatology: 2-Volume Set. St. Louis: Mosby. ISBN 978-1-4160-2999-1.
- ^ James, William; Berger, Timothy; Elston, Dirk (2005). Andrews' Diseases of the Skin: Clinical Dermatology. (10th ed.). Saunders. ISBN 0-7216-2921-0.
- ^ a b c d Boukovalas, Stefanos; Dillard, Rachel; Qiu, Suimin; Cole, Eric L (2017). "Intravascular Papillary Endothelial Hyperplasia (Masson's Tumor): Diagnosis the Plastic Surgeon Should Be Aware of". Plastic and Reconstructive Surgery — Global Open. 5 (1). Ovid Technologies (Wolters Kluwer Health): e1122. doi:10.1097/gox.0000000000001122. ISSN 2169-7574. PMC 5293289.
- ^ Clearkin, K. P.; Enzinger, F. M. (1976). "Intravascular papillary endothelial hyperplasia". Archives of Pathology & Laboratory Medicine. 100 (8): 441–444. ISSN 0003-9985. PMID 947306.
- ^ a b T, Kuo; CP, Sayers; J, Rosai (1976). "Masson's "vegetant intravascular hemangioendothelioma:" a lesion often mistaken for angiosarcoma: study of seventeen cases located in the skin and soft tissues". Cancer. 38 (3): 1227–1236. doi:10.1002/1097-0142(197609)38:3<1227::aid-cncr2820380324>3.0.co;2-6. ISSN 0008-543X. PMID 986234.
- ^ Hong, Seok-Gi; Cho, Hyeon-Min; Chin, Hyung-min; Park, Il-Young; Yoo, Jin-Young; Hwang, Sung-Soo; Kim, Jun-Gi; Park, Woo-Bae; Chun, Chung-Soo (2004). "Intravascular Papillary Endothelial Hyperplasia (Masson's Hemangioma) of the Liver: A New Hepatic Lesion". Journal of Korean Medical Science. 19 (2). Korean Academy of Medical Sciences: 305. doi:10.3346/jkms.2004.19.2.305. ISSN 1011-8934. PMC 2822318.
- ^ Lee, W.; Hui, F.; Sitoh, Y. Y. (2004). "Intravascular papillary endothelial hyperplasia in an intracranial thrombosed aneurysm: 3T magnetic resonance imaging and angiographical features". Singapore Medical Journal. 45 (7): 330–333. ISSN 0037-5675. PMID 15221049.
- ^ a b Tedla, Miroslav; Bežová, Miroslava; Biró, Csaba; Tedlová, Eva; Eng, Chee-Yean; Zeleník, Karol (2014). "Intravascular papillary endothelial hyperplasia of larynx: Case report and literature review of all head and neck cases". Otolaryngologia Polska. 68 (4). Index Copernicus: 200–203. doi:10.1016/j.otpol.2014.03.002. ISSN 0030-6657. PMID 24981303.
- ^ a b Nwokolo, Vania; Veeramachaneni, Ravindra; Rivas, Saul D. (2020). "Vulvar intravascular papillary endothelial hyperplasia or Masson's tumor: A case report". Case Reports in Women's Health. 28 e00250. Elsevier BV. doi:10.1016/j.crwh.2020.e00250. ISSN 2214-9112. PMC 7451632. PMID 32874931.
- ^ a b Akdur, Noyan Can; Donmez, Melahat; Gozel, Serap; Ustun, Huseyin; Hucumenoglu, Sema (2013-10-14). "Intravascular papillary endothelial hyperplasia: histomorphological and immunohistochemical features". Diagnostic Pathology. 8 (1) 167. Springer Science and Business Media LLC. doi:10.1186/1746-1596-8-167. ISSN 1746-1596. PMC 4016006.
- ^ Malik, Ajay; Mahapatra, QuryS; Sahai, Kavita; Mani, NS (2015). "Intravascular papillary endothelial hyperplasia: An unusual histopathological entity". Indian Dermatology Online Journal. 6 (4). Medknow: 277. doi:10.4103/2229-5178.160269. ISSN 2229-5178. PMC 4513410. PMID 26225335.
- ^ Fasina, Oluyemi; Adeoye, Adewunmi; Akang, Effiong (2012-09-13). "Orbital intravascular papillary endothelial hyperplasia in a Nigerian child: a case report and review of the literature". Journal of Medical Case Reports. 6 (1) 300. Springer Science and Business Media LLC. doi:10.1186/1752-1947-6-300. ISSN 1752-1947. PMC 3459712. PMID 22974134.
- ^ Kim, Ok Hwa; Kim, Yeon Mee; Choo, Hye Jung; Lee, Sun Joo; Kim, Yeong Mi; Yi, Jae Hyuck; Lee, Yong Hwan (2016). "Subcutaneous intravascular papillary endothelial hyperplasia: ultrasound features and pathological correlation". Skeletal Radiology. 45 (2): 227–233. doi:10.1007/s00256-015-2281-7. ISSN 0364-2348. PMID 26559670.
- ^ Avellino, Anthony M.; Grant, Gerald A.; Harris, A. Basil; Wallace, Sharon K.; Shaw, Cheng-Mei (1999). "Recurrent intracranial Masson's vegetant intravascular hemangioendothelioma". Journal of Neurosurgery. 91 (2). Journal of Neurosurgery Publishing Group (JNSPG): 308–312. doi:10.3171/jns.1999.91.2.0308. ISSN 0022-3085. PMID 10433320.
Further reading
- Hashimto, Hiroshi; Daimaru, Yutaka; Enjoji, Munetomo (1983). "Intravascular papillary endothelial hyperplasia A clinicopathologic study of 91 cases". The American Journal of Dermatopathology. 5 (6). Ovid Technologies (Wolters Kluwer Health): 539–546. doi:10.1097/00000372-198312000-00004. ISSN 0193-1091.
- Patai, Bernadett Bettina; Peterfy, Nora; Szakacs, Noemi; Sapi, Zoltan; Hetthessy, Judit Reka (2020). "Papillary Endothelial Hyperplasia (Masson Tumor) of the Hand. Surgical and Pathological Consideration from Seven Cases Using New Vascular Markers". Pathology & Oncology Research. 26 (4): 2083–2090. doi:10.1007/s12253-020-00838-8. ISSN 1219-4956. PMC 7471200. PMID 32671676.
