Goblet cell carcinoid
| Goblet cell carcinoid | |
|---|---|
| Other names | Crypt cell carcinoma, neuroendocrine tumour with goblet cell differentiation | 
|  | |
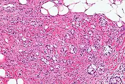
| Micrograph showing a goblet cell carcinoid. H&E stain. | |
The goblet cell carcinoid (GCC) is a rare biphasic gastrointestinal tract tumour that consists of a neuroendocrine component and a conventional carcinoma, histologically arising from Paneth cells.[1]
Sign and symptoms
GCCs may present as appendicitis.
Diagnosis

GCCs are diagnosed by pathology. They have a characteristic biphasic appearance which includes (1) goblet cell-like cells, and (2) neuroendocrine-type nuclear chromatin (stippled chromatin).
Prognosis
GCCs have an aggressive course compared to other appendiceal neuroendocrine tumours.[1]
Treatment
GCCs are treated with surgery.
See also
References
External links

Wikimedia Commons has media related to Goblet cell carcinoid.