Epiphyseal plate

Epiphyseal plate
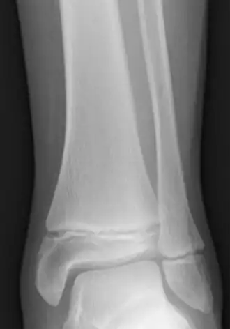
Radiogram of distal tibia (left) and fibula (right) showing two epiphyseal plates
Light micrograph of an undecalcified epiphyseal plate that is displaying the hypertrophic zone with its typical chondrocytes, matrix and three zones: maturation (top), degenerative (middle) and provisional calcification (bottom).
Details
Identifiers
Latinlamina epiphysialis
MeSHD006132
TA98A02.0.00.020
TA2395
FMA75427
Anatomical terminology

The epiphyseal plate, epiphysial plate, physis, or growth plate is a hyaline cartilage plate in the metaphysis at each end of a long bone. It is the part of a long bone where new bone growth takes place; that is, the whole bone is alive, with maintenance remodeling throughout its existing bone tissue, but the growth plate is the place where the long bone grows longer (adds length).

The plate is only found in children and adolescents; in adults, who have stopped growing, the plate is replaced by an epiphyseal line. This replacement is known as epiphyseal closure or growth plate fusion. Complete fusion can occur as early as 12 for girls (with the most common being 14–15 years for girls) and as early as 14 for boys (with the most common being 15–17 years for boys).[1][2][3][4][5]

Structure

Development

Endochondral ossification is responsible for the initial bone development from cartilage in utero and infants and the longitudinal growth of long bones in the epiphyseal plate. The plate's chondrocytes are under constant division by mitosis. These daughter cells stack facing the epiphysis while the older cells are pushed towards the diaphysis. As the older chondrocytes degenerate, osteoblasts ossify the remains to form new bone. In puberty increasing levels of estrogen, in both females and males, leads to increased apoptosis of chondrocytes in the epiphyseal plate.[6] Depletion of chondrocytes due to apoptosis leads to less ossification and growth slows down and later stops when the entire cartilage have become replaced by bone, leaving only a thin epiphyseal scar which later disappears.[7]

Histology

The growth plate has a very specific morphology in having a zonal arrangement as follows:[8]

Epiphyseal plate zone (from epiphysis to diaphysis) Description
Zone of reserve Quiescent chondrocytes are found at the epiphyseal end
Zone of proliferation Chondrocytes undergo rapid mitosis under influence of growth hormone
Zone of maturation and hypertrophy Chondrocytes stop mitosis, and begin to hypertrophy by accumulating glycogen, lipids, and alkaline phosphatase
Zone of calcification Chondrocytes undergo apoptosis. Cartilagenous matrix begins to calcify.
Zone of ossification Osteoclasts and osteoblasts from the diaphyseal side break down the calcified cartilage and replace with mineralized bone tissue.
Masson Goldner trichrome stain of rabbit epiphysial plate

Clinical significance

Defects in the development and continued division of epiphyseal plates can lead to growth disorders collectively known as osteochondrodysplasia. The most common defect is achondroplasia, where there is a defect in cartilage formation. Achondroplasia is the most common cause of dwarfism or short stature and it also manifests in generalized deformities of bones and joints. However, various other types of osteochondrodysplasias can cause short stature and generalized deformities of bones and joints due to abnormal function of growth plate cartilage cells.[9] Hereditary multiple exostoses is a genetic condition that is caused by growth irregularities of the epiphyseal plates of the long bones of the upper[10] and lower limbs.[11] It usually results in limb deformities and a certain degree of functional limitations.

Salter–Harris fractures are fractures involving epiphyseal plates and hence tend to interfere with growth, height or physiologic functions.[12]

Osgood–Schlatter disease results from stress on the epiphyseal plate in the tibia, leading to excess bone growth and a painful lump at the knee.

There are important clinical implications of the growth plate physiology. For example guided growth surgery, also known as temporary hemiepiphysiodesis is used to achieve correction or straightening of the bone deformities in a variety of pediatric orthopedic disorders such as Blount's disease, rickets, arthrogryposis multiplex congenita and osteochondrodysplasias among others.[13][14][15] This applies to bone and joint deformities in the coronal – medial/lateral – plane or genu varum/genu valgum plane[14] and in the sagittal – anterior/posterior – plane or knee flexion deformity/genu recurvatum plane.[15]

Other animals

John Hunter studied growing chickens, and observed that bones grew at the ends, demonstrating the existence of the epiphyseal plates. Hunter is often considered the "father of the growth plate" because of his early research on growth plates.[16]

See also

References

  1. ^ Crowder, C; Austin, D (September 2005). "Age ranges of epiphyseal fusion in the distal tibia and fibula of contemporary males and females". Journal of Forensic Sciences. 50 (5): 1001–7. doi:10.1520/JFS2004542. PMID 16225203. complete fusion in females occurs as early as 12 years in the distal tibia and fibula. All females demonstrated complete fusion by 18 years with no significant differences between ancestral groups. Complete fusion in males occurs as early as 14 years in both epiphyses. All males demonstrated complete fusion by 19 years
  2. ^ Barrell, Amanda. "At what age do girls stop growing?". MedicalNewsToday. Retrieved 9 June 2020.
  3. ^ Jarret, Robert R. "Puberty: Tanner Stages – Boys". Pediatric HOUSECALLS. Retrieved 9 June 2020.
  4. ^ Jarret, Robert R. "Puberty: Tanner Stages – Girls". Pediatric HOUSECALLS. Retrieved 9 June 2020.
  5. ^ "When do most males' growth plates close?". Zoodoc. Retrieved 9 June 2020.
  6. ^ Zhong, M; Carney, DH; Boyan, BD; Schwartz, Z (January 2011). "17β-Estradiol regulates rat growth plate chondrocyte apoptosis through a mitochondrial pathway not involving nitric oxide or MAPKs". Endocrinology. 152 (1): 82–92. doi:10.1210/en.2010-0509. PMID 21068162.
  7. ^ "Skeletal System / Bone Development and Growth". Archived from the original on 2008-07-09. Retrieved 2008-07-10.
  8. ^ Ovalle, William K.; Nahirney, Patrick C. (2007). Netter's essential histology : with Student consult online access (1st ed.). Philadelphia, Pa.: Elsevier Saunders. ISBN 9781929007868.
  9. ^ El-Sobky, TamerA; Shawky, RabahM; Sakr, HossamM; Elsayed, SolafM; Elsayed, NermineS; Ragheb, ShaimaaG; Gamal, Radwa (2017). "A systematized approach to radiographic assessment of commonly seen genetic bone diseases in children: A pictorial review". Journal of Musculoskeletal Surgery and Research. 1 (2): 25. doi:10.4103/jmsr.jmsr_28_17. S2CID 79825711.
  10. ^ E.L.-Sobky, Tamer A.; Samir, Shady; Atiyya, Ahmed Naeem; Mahmoud, Shady; Aly, Ahmad S.; Soliman, Ramy (2018). "Current paediatric orthopaedic practice in hereditary multiple osteochondromas of the forearm: a systematic review". SICOT-J. 4: 10. doi:10.1051/sicotj/2018002. PMC 5863686. PMID 29565244.
  11. ^ Duque Orozco, Maria del Pilar; Abousamra, Oussama; Rogers, Kenneth J.; Thacker, Mihir M. (July 2018). "Radiographic Analysis of the Pediatric Hip Patients With Hereditary Multiple Exostoses (HME)". Journal of Pediatric Orthopaedics. 38 (6): 305–311. doi:10.1097/BPO.0000000000000815. PMID 27328120. S2CID 23800752.
  12. ^ Mirghasemi, Alireza; Mohamadi, Amin; Ara, Ali Majles; Gabaran, Narges Rahimi; Sadat, Mir Mostafa (November 2009). "Completely displaced S-1/S-2 growth plate fracture in an adolescent: case report and review of literature". Journal of Orthopaedic Trauma. 23 (10): 734–738. doi:10.1097/BOT.0b013e3181a23d8b. ISSN 1531-2291. PMID 19858983. S2CID 6651435.
  13. ^ Journeau, P (2020). "Update on guided growth concepts around the knee in children". Orthop Traumatol Surg Res. S1877-0568 (19): S171 – S180. doi:10.1016/j.otsr.2019.04.025. PMID 31669550.
  14. ^ a b EL-Sobky, TA; Samir, S; Baraka, MM; Fayyad, TA; Mahran, MA; Aly, AS; Amen, J; Mahmoud, S (1 January 2020). "Growth modulation for knee coronal plane deformities in children with nutritional rickets: A prospective series with treatment algorithm". JAAOS: Global Research and Reviews. 4 (1): e19.00009. doi:10.5435/JAAOSGlobal-D-19-00009. PMC 7028784. PMID 32159063.
  15. ^ a b Trofimova, SI; Buklaev, DS; Petrova, EV; Mulevanova, SA (2016). "Guided growth for correction of knee flexion contracture in patients with arthrogryposis: preliminary results". Pediatric Traumatology, Orthopaedics and Reconstructive Surgery. 4 (4): 64–70. doi:10.17816/PTORS4464-70.
  16. ^ Mehlman, Charles; Koepplinger, Matthew (2008-08-12). "Growth Plate (Physeal) Fractures". EMedicine.com. Archived from the original on 2008-12-22.