Duct (anatomy)
| Duct | |
|---|---|
![]() Dissection of a lactating breast. 1 - Fat 2 - Lactiferous duct/lobule 3 - Lobule 4 - Connective tissue 5 - Sinus of lactiferous duct 6 - Lactiferous duct | |
![]() Section of the human esophagus. Moderately magnified. The section is transverse and from near the middle of the gullet. a. Adventitia. b. Divided fibers of longitudinal muscular coat. c. Transverse muscular fibers. d. Submucous or areolar layer. e. Muscularis mucosae. f. Mucous membrane, with vessels and part of a lymphoid nodule. g. Stratified epithelial lining. h. Mucous gland. i. Gland duct. m’. Striated muscular fibers cut across. | |
| Identifiers | |
| FMA | 30320 |
| Anatomical terminology | |
In anatomy and physiology, a duct is a circumscribed channel leading from an exocrine gland or organ.
Types of ducts
Examples include:
Duct system
As ducts travel from the acinus which generates the fluid to the target, the ducts become larger and the epithelium becomes thicker. The parts of the system are classified as follows:
| Type of duct | Epithelium | Surroundings |
|---|---|---|
| intralobular duct | simple cuboidal | parenchyma |
| interlobular duct | simple columnar | connective tissue |
| interlobar duct | stratified columnar | connective tissue |
Some sources consider "lobar" ducts to be the same as "interlobar ducts", while others consider lobar ducts to be larger and more distal from the acinus. For sources that make the distinction, the interlobar ducts are more likely to classified with simple columnar epithelium (or pseudostratified epithelium), reserving the stratified columnar for the lobar ducts.
-
Section of submaxillary gland of kitten. Duct semidiagrammatic. X 200. -
Section of portion of mamma.
Intercalated duct
| Intercalated duct (ducts of Boll) | |
|---|---|
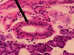
![]() Section of pancreas of dog. X 250. (Intercalated ducts visible but not labeled.) | |
![]() | |
| Details | |
| Part of | Exocrine glands |
| Identifiers | |
| FMA | 30320 |
| Anatomical terms of microanatomy | |
The intercalated duct, also called intercalary duct (ducts of Boll), is the portion of an exocrine gland leading directly from the acinus to a striated duct. The intercalated duct forms part of the intralobular duct. This duct has the thinnest epithelium of any part of the duct system, and the epithelium is usually classified as "low" simple cuboidal.[1]
They are found in both the pancreas[2][3][4] and in salivary glands.[5][6][7]
Striated duct
A striated duct (Pflüger's ducts) is a gland duct which connects an intercalated duct to an interlobular duct. It is characterized by the basal infoldings of its plasma membrane, characteristic of ion-pumping activity by the numerous mitochondria.[8][9] Along with the intercalated ducts, they function to modify salivary fluid by secreting HCO3− and K+ and reabsorbing Na+ and Cl− using the Na-K pump and the Cl-HCO3 pump, making the saliva hypotonic.
Their epithelium can be simple cuboidal or simple columnar.[10]
Striated ducts are part of the intralobular ducts.
They are found in the submandibular gland,[11][12] sublingual duct, and the parotid gland, but are more developed in the parotid gland.[13]
They are not present in pancreas.
Intralobular duct
An intralobular duct is the portion of an exocrine gland inside a lobule, leading directly from acinus to an interlobular duct (between lobules). It is composed of two subdivisions, the intercalated duct and the striated duct.
In the human mammary gland, the intralobular duct is a part of the glandular system that resides within the lobules. Lobules contain clusters of ducts whose secretory alveolies are drained by the intralobular duct. The intralobular ducts are usually lined with simple cuboidal epithelial cells that are lined by myoepithelial cells as well.
The intralobular ducts of the lobules drain into the interlobular ducts between lobules.
They can be seen in:
See also
References
- ^ "Histology of Glands". Southern Illinois University. Retrieved 23 May 2011.
- ^ Anatomy photo: digestive/mammal/pancreas/pancreas1 - Comparative Organology at University of California, Davis - "Mammal, pancreas (LM, Medium)"
- ^ "Slide at uottawa.ca". Archived from the original on 2004-09-19. Retrieved 2019-05-29.
- ^ Nosek, Thomas M. "Section 6/6ch4/s6ch4_17". Essentials of Human Physiology. Archived from the original on 2016-03-24.
- ^ "Slide at usc.edu". Archived from the original on 2007-05-05. Retrieved 2019-05-29.
- ^ Anatomy photo: Digestive/mammal/salivary1/salivary3 - Comparative Organology at University of California, Davis - "Mammal, salivary glands (LM, Medium)"
- ^ Nosek, Thomas M. "Section 6/6ch4/s6ch4_4". Essentials of Human Physiology. Archived from the original on 2016-03-24.
- ^ Anatomy photo: Digestive/mammal/salivary2/salivary1 - Comparative Organology at University of California, Davis - "Mammal, salivary glands (EM, Low)"
- ^ Anatomy photo: Digestive/mammal/salivary1/salivary4 - Comparative Organology at University of California, Davis - "Mammal, salivary glands (LM, Medium)"
- ^ SIU SOM Histology GI
- ^ Histology image:10103loa from Vaughan, Deborah (2002). A Learning System in Histology: CD-ROM and Guide. Oxford University Press. ISBN 978-0195151732.
- ^ "Histology at umdnj.edu". Archived from the original on 2006-12-30. Retrieved 2019-05-29.
- ^ "Oral histology at usc.edu". Archived from the original on 2007-05-05. Retrieved 2019-05-29.
- ^ Nosek, Thomas M. "Section 6/6ch4/s6ch4_17". Essentials of Human Physiology. Archived from the original on 2016-03-24.
- ^ Overview in pancreas at downstate.edu
- ^ "Slide at uottawa.ca". Archived from the original on 2007-02-17. Retrieved 2019-05-29.
- ^ "Slide at uiowa.edu". Archived from the original on 2006-09-04. Retrieved 2019-05-29.



