Crazy paving (medicine)

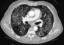
Crazy paving refers to a pattern seen on computed tomography of the chest, involving lobular septal thickening with variable alveolar filling. The finding is seen in pulmonary alveolar proteinosis,[1] and other diseases.[2] Its name comes from its resemblance to irregular paving stones, called crazy pavings.[3]
Causes
There are variety of causes for crazy paving patterns: infection, cancer, blood related disorders, diseases caused by inhalation of particles, and idiopathic disease. Specific lung disorders that can cause such patterns are: pneumocystis pneumonia, mucinous bronchioloalveolar carcinoma, pulmonary alveolar proteinosis, sarcoidosis, nonspecific interstitial pneumonia, organizing pneumonia, exogenous lipoid pneumonia, adult respiratory distress syndrome, and pulmonary hemorrhage syndromes.[4]
References
- ^ Ishii, Haruyuki; Trapnell, Bruce C.; Tazawa, Ryushi; Inoue, Yoshikazu; Akira, Masanori; Kogure, Yoshihito; Tomii, Keisuke; Takada, Toshinori; Hojo, Masayuki; Ichiwata, Toshio; Goto, Hajime (November 2009). "Comparative Study of High-Resolution CT Findings Between Autoimmune and Secondary Pulmonary Alveolar Proteinosis". Chest. 136 (5): 1348–1355. doi:10.1378/chest.09-0097. PMID 19892674.
- ^ Holbert, J. Michael; Costello, Philip; Li, Wei; Hoffman, Robert M.; Rogers, Robert M. (May 2001). "CT Features of Pulmonary Alveolar Proteinosis". American Journal of Roentgenology. 176 (5): 1287–1294. doi:10.2214/ajr.176.5.1761287. ISSN 0361-803X. PMID 11312196.
- ^ De Wever, Walter; Meersschaert, Joke; Coolen, Johan; Verbeken, Eric; Verschakelen, Johny A (April 2011). "The crazy-paving pattern: a radiological-pathological correlation". Insights into Imaging. 2 (2): 117–132. doi:10.1007/s13244-010-0060-5. ISSN 1869-4101. PMC 3259383. PMID 22347941.
- ^ Rossi, Santiago E.; Erasmus, Jeremy J.; Volpacchio, Mariano; Franquet, Tomas; Castiglioni, Teresa; McAdams, H. Page (November 2003). ""Crazy-Paving" Pattern at Thin-Section CT of the Lungs: Radiologic-Pathologic Overview". RadioGraphics. 23 (6): 1509–1519. doi:10.1148/rg.236035101. ISSN 0271-5333.