Clear cell acanthoma
| Clear cell acanthoma | |
|---|---|
| Clear cell acanthoma (Degos) | |
| Specialty | Oncology |
Clear cell acanthoma (also known as Acanthome cellules claires of Degos and Civatte, Degos acanthoma, and Pale cell acanthoma) is a benign clinical and histological lesion initially described as neoplastic, which some authors now regard as a reactive dermatosis. It usually presents as a moist solitary firm, brown-red, well-circumscribed, 5 mm to 2 cm nodule or plaque on the lower extremities of middle-aged to elderly individuals. The lesion has a crusted, scaly peripheral collarette and vascular puncta on the surface; in dermoscopy this looks like "a string of pearls".[1] It is characterized by slow growth, and may persist for years. The clinical differential diagnosis includes: dermatofibroma, inflamed seborrheic keratosis, pyogenic granuloma, basal-cell carcinoma, squamous cell carcinoma, verruca vulgaris, psoriatic plaque, and melanoma.
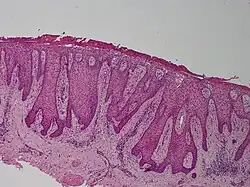
Histology
Clear cell acanthoma is characterized by a sharply demarcated psoriasiform epidermal hyperplasia composed of a proliferation of slightly enlarged keratinocytes, and basal cells with pale-staining glycogen-rich cytoplasm, mild spongiosis and scattered neutrophils, which may form small intraepidermal microabscesses. Oedematous dermal papillae are typically seen with increased vascularity and a mixed inflammatory infiltrate including lymphocytes, plasma cells and neutrophils.
Treatment
Simple surgical excision is curative. [2]: 636 [3]: 777
See also
- Epidermis
- List of cutaneous conditions
- List of cutaneous neoplasms associated with systemic syndromes
References
- ^ Tiodorovic-Zivkovic, D; Lallas A; Longo, C; Moscarella, E; Zalaudek, I; Argenziano, G (2015). "Dermoscopy of clear cell acanthoma". J Am Acad Dermatol. 72 (1 Suppl): S47-9. doi:10.1016/j.jaad.2014.06.039. hdl:11380/1140894. PMID 25500041.
- ^ Odom, Richard B.; Davidsohn, Israel; James, William D.; Henry, John Bernard; Berger, Timothy G.; Clinical diagnosis by laboratory methods; Dirk M. Elston (2006). Andrews' diseases of the skin: clinical dermatology. Saunders Elsevier. ISBN 0-7216-2921-0.
- ^ Freedberg, et al. (2003). Fitzpatrick's Dermatology in General Medicine. (6th ed.). McGraw-Hill. ISBN 0-07-138076-0.